Oncology
+2

Apr 27, 2026
•
2 min read
VRU 2025

Oncology
+3

Apr 26, 2026
•
2 min read
VRU 2025

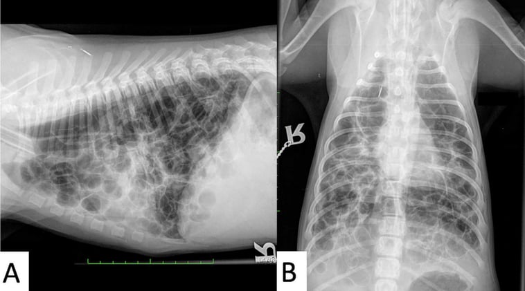
Feline
+2

Apr 26, 2026
•
3 min read
Vet Radiol Ultrasound. 2025

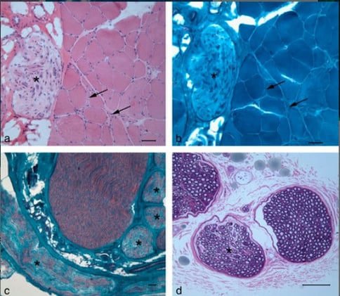
Oncology
+1

Apr 26, 2026
•
2 min read
Plos One 2025


Daily insights into the veterinary imaging literature, powered by AI