Yoshihiko Yu, Atsushi Sugiyama, Takashi Kuniya, Daisuke Hasegawa
Background
Hypervitaminosis A in cats is a known condition typically diagnosed through history of vitamin A-rich diet (e.g., raw liver) and characteristic radiographic findings. The paper presents the first report of computed tomography (CT) and magnetic resonance imaging (MRI) characteristics of a cat with presumptive hypervitaminosis A, despite the absence of a known dietary history and normal serum vitamin A levels.
Methods
A stray, non-ambulatory cat with unknown history underwent a full clinical workup including radiography, CT, and MRI. Neurological examination and blood tests were conducted before imaging. CT imaging included three-dimensional volume rendering and virtual endoscopy. MRI focused on the brain and spinal cord, and contrast-enhanced imaging was used. Serum vitamin A levels were measured post-rescue via high-performance liquid chromatography.
Results
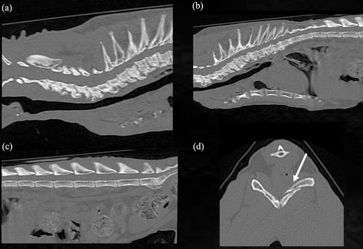
Radiographs revealed vertebral exostoses and extensive osteophytes from C2 to T10, consistent with hypervitaminosis A. CT confirmed these findings and demonstrated spinal canal stenosis due to hyperostosis and intervertebral disc protrusions. MRI showed a mild dilation of the central spinal canal at T4–T5 without enhancement, along with disc signal changes. Despite a serum vitamin A level within normal range (>1 month post-rescue), other differential diagnoses were ruled out based on imaging and clinical features. The cat exhibited non-ambulatory paraparesis and head/neck scratching episodes, the latter partially responsive to oclacitinib. No progression of neurological deficits was noted over seven months.
Limitations
The primary limitation was the lack of dietary history, as the cat was a stray. Serum vitamin A levels may have normalized before testing. No liver biopsy or post-mortem histopathological analysis was performed, limiting definitive confirmation of hypervitaminosis A. Additionally, the mechanism of head and neck scratching remains unclear.
Conclusions
This case demonstrates the utility of CT and MRI in identifying spinal changes suggestive of hypervitaminosis A in cats, particularly when dietary history is unknown and serum vitamin A levels are inconclusive. The imaging modalities provided detailed visualization of spinal pathology, supporting a presumptive diagnosis and expanding the diagnostic framework for similar cases.

Figure 2 CT imaging of the cat. Sagittal plane of CT of the (a) cervical, (b) thoracic and (c) lumbar spine. Vertebral exostoses
and extensive osteophytes were seen in the cervical and thoracic spine. Spondylosis was also seen at the lumbosacral
junction. (d) Transverse CT image of the pelvis. A bone fracture was seen (indicated by the arrow)
How did we do?
Disclaimer: The summary generated in this email was created by an AI large language model. Therefore errors may occur. Reading the article is the best way to understand the scholarly work. The figure presented here remains the property of the publisher or author and subject to the applicable copyright agreement. It is reproduced here as an educational work. If you have any questions or concerns about the work presented here, reply to this email.

