- Veterinary View Box
- Posts
- 3D Insight for Skull Surgery: CT Imaging Key to Diagnosing Equine Cranial Malformations
3D Insight for Skull Surgery: CT Imaging Key to Diagnosing Equine Cranial Malformations
Journal of Equine Science, 2025
Takashi Yamaga, Masaaki Tagami, Akiko Takeyama, Fumiki Kato, Tsukasa Suzuki, Masayuki Tagami, Nao Tsuzuki
Background
Accurate diagnosis of equine cranial disorders is challenging due to the complexity of the skull and limitations of conventional imaging such as radiography and endoscopy. Computed tomography (CT) offers superior spatial resolution and three-dimensional imaging, providing critical information in cases where standard techniques are insufficient. This case report presents two Thoroughbred horses with congenital cranial malformations in which preoperative CT played a decisive role in diagnosis and surgical planning.
Methods
Two cases were examined. Case 1 involved a 4-month-old Thoroughbred foal with pus drainage under the left ear, diagnosed radiographically with a dentigerous cyst. Case 2 was a 3-year-old pregnant mare with head tilt and facial nerve paralysis, provisionally diagnosed with temporohyoid osteoarthropathy. Both underwent high-resolution multidetector CT scans under general anesthesia. CT findings informed surgical approaches: fistula excision in Case 1 and ceratohyoid osteotomy in Case 2. Postoperative courses and clinical outcomes were monitored.
Results
In Case 1, CT precisely localized an ectopic tooth within the skull near the inner ear and identified a detailed fistula tract and sac-like structure. Surgical excision of the fistula and associated material led to uneventful recovery, with the foal later debuting as a racehorse. In Case 2, CT revealed congenital malformations of the hyoid apparatus, including fusion of the ceratohyoid and basihyoid bones, absence of the thyrohyoid bone, a shorter left stylohyoid bone, and soft tissue with calcification in the tympanic cavity. These findings enabled targeted osteotomy, alleviating the mare’s neurological symptoms. The mare later delivered successfully but died from unrelated causes six months post-surgery.
Limitations
This report is limited to two cases and lacks long-term follow-up for one subject due to unrelated death. The diagnostic and surgical conclusions are based on CT interpretations without histological confirmation of all anatomical findings. Broader generalization is limited by the case report design.
Conclusions
Preoperative CT imaging provided essential diagnostic detail in two complex cases of equine cranial malformation, enabling tailored and minimally invasive surgical interventions. CT is strongly recommended when conventional imaging fails to clarify anatomical relationships, especially for suspected dentigerous cysts or temporohyoid osteoarthropathy. This technology improves diagnostic accuracy, facilitates surgical precision, and may enhance postoperative outcomes in equine head disorders.

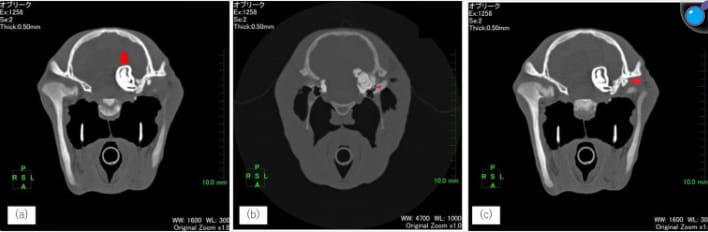
Cranial computed tomography (transverse plane) in case 1.
a: Ectopic tooth located within the skull (red arrow). b: Ectopic tooth root located near the inner ear (arrowhead). c: A free, bone-like structure (arrowhead) was observed on the ventral side of the temporal bone.
How did we do? |
Disclaimer: The summary generated in this email was created by an AI large language model. Therefore errors may occur. Reading the article is the best way to understand the scholarly work. The figure presented here remains the property of the publisher or author and subject to the applicable copyright agreement. It is reproduced here as an educational work. If you have any questions or concerns about the work presented here, reply to this email.