- Veterinary View Box
- Posts
- An Unexpected Complication: Chylothorax After PDA Ligation Linked to a Hidden Venous Anomaly
An Unexpected Complication: Chylothorax After PDA Ligation Linked to a Hidden Venous Anomaly
Aust Vet J. 2025
T. R. Nash; G. L. Hosgood
Background
Patent ductus arteriosus (PDA) is a common congenital cardiac defect in dogs, and surgical ligation is generally considered safe and effective. Persistent left cranial vena cava (PLCVC) is the most frequently reported congenital anomaly of the thoracic venous system in dogs and is often clinically silent. Although both conditions have been individually described, their coexistence is rare, and postoperative complications related to this combination have not been previously documented. This case report describes the first known occurrence of chylothorax following PDA ligation in a dog with PLCVC and proposes a pathophysiologic mechanism for its development.
Methods
A nine-month-old female desexed Pomeranian diagnosed with left-to-right shunting PDA underwent surgical ligation via a left fourth intercostal thoracotomy. An aberrant mediastinal vessel overlying the PDA was identified intraoperatively and temporarily retracted to allow ductal ligation. Postoperative diagnostic evaluation for acute respiratory signs included thoracic ultrasound, pleural fluid analysis, and contrast-enhanced thoracic computed tomography to characterize the aberrant vessel and investigate the cause of pleural effusion.
Results
Three days postoperatively, the dog developed dyspnoea due to bilateral chylous pleural effusion. Computed tomography identified the aberrant vessel as a complete PLCVC draining into the right atrium, with a normal right cranial vena cava also present. No evidence of thrombosis or permanent vascular obstruction was detected. Chylothorax resolved spontaneously following thoracostomy tube placement, without additional surgical or medical intervention. Follow-up echocardiography eight weeks later demonstrated normal cardiac dimensions and flow patterns, with resolution of preoperative cardiac changes.
Limitations
As a single case report, causal relationships cannot be definitively established, and findings may not be generalisable. Preoperative imaging did not identify the PLCVC, limiting assessment of whether advanced vascular imaging could have altered surgical planning. Lymphangiography was not performed, preventing direct evaluation of thoracic duct anatomy or identification of a specific leakage site.
Conclusions
This report documents a previously unreported complication of PDA ligation in dogs and suggests that transient obstruction of a PLCVC can acutely increase venous hydrostatic pressure, impair thoracic duct drainage, and result in chylothorax. The case highlights the importance of recognising unexpected vascular anomalies during cardiac surgery and exercising caution when manipulating unidentified vessels, as even temporary obstruction may have clinically significant consequences.

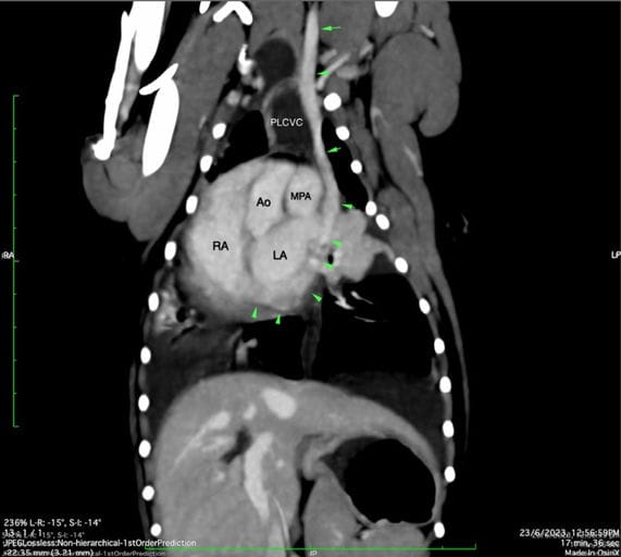
Dorsal multiplanar reconstruction showing trajectory (green arrowheads) of persistent left cranial vena cava (PLCVC) caudal to heart and inserting into right atrium (RA). Ao, aorta; LA, left atrium; MPA, main pulmonary artery.
How did we do? |
Disclaimer: The summary generated in this email was created by an AI large language model. Therefore errors may occur. Reading the article is the best way to understand the scholarly work. The figure presented here remains the property of the publisher or author and subject to the applicable copyright agreement. It is reproduced here as an educational work. If you have any questions or concerns about the work presented here, reply to this email.