- Veterinary View Box
- Posts
- Are Your Parrots at Risk? New Insights on Lipid Disorders in Psittacine Birds
Are Your Parrots at Risk? New Insights on Lipid Disorders in Psittacine Birds
Veterinary Clinics of North America: Exotic Animal Practice 2025
Hugues Beaufrère, DVM, PhD, DACZM, DABVP (Avian), DECZM (Avian)
Background
Lipid-related disorders are among the most prevalent non-infectious diseases in psittacine birds under managed care. These include conditions like atherosclerosis, hepatic lipidosis, and lipomas, with significant variation in susceptibility based on species, sex, reproductive status, diet, and age. The disorders contribute to notable morbidity and mortality and often occur concurrently due to shared risk factors and mechanisms, though epidemiological links are not always clear.
Methods
This comprehensive review synthesizes current knowledge and recent research findings on the pathophysiology, diagnosis, clinical presentation, and treatment of lipid disorders in psittacine birds. It includes both retrospective and prospective data from multiple studies, as well as the author's ongoing investigations. Diagnostic methodologies discussed include advanced imaging (CT, PET, angiography), lipid panels, and histopathology. Pharmacologic trials of statins and other therapeutics in various psittacine species are also reviewed.
Results
Key findings include:
-Dyslipidemia is highly prevalent but poorly characterized; diet, reproductive status, and species are major factors. Plasma lipid panels (cholesterol, triglycerides, HDL) are essential for diagnosis, but LDL measures are unreliable in birds.
-Atherosclerosis presents primarily in large arteries and is associated with age, sex (higher in females), and reproductive activity. CT and PET imaging are the most sensitive diagnostic tools; angiography is limited by resolution.
-Hepatic lipidosis is prevalent in species like Quaker and Amazon parrots, linked to high-fat diets and low activity. CT confirms diagnosis via fat quantification.
-Lipomas and adipocytic tumors are most common in Quaker parrots, often associated with hepatic lipidosis.
-Xanthomas and systemic xanthogranulomatosis are associated with atherosclerosis and are especially common in Eclectus parrots.
Treatment strategies include dietary management, omega-3 fatty acid supplementation, reproductive hormone modulation (e.g., deslorelin implants), and experimental use of statins, which have shown variable pharmacokinetic success but limited efficacy in lipid reduction so far.
Limitations
Most data are based on retrospective or experimental studies with small sample sizes. There is a lack of prospective clinical trials linking dyslipidemia to disease outcomes, and many findings have yet to be validated across diverse psittacine species. Additionally, statins have not demonstrated consistent lipid-lowering effects in parrots, possibly due to low baseline LDL levels and short trial durations.
Conclusions
Lipid disorders are a significant and underdiagnosed health issue in psittacine birds, requiring species-specific, multifactorial management. Early detection through lipid panels and imaging is crucial, and lifestyle changes remain the cornerstone of prevention. While pharmacologic treatments like statins show potential, more research is needed to refine their use. Tailored interventions based on species, reproductive status, and individual risk factors are essential to improve outcomes and avian welfare.

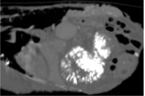
Contrast computed tomography sagittal section of an Eclectus parrot with disseminated xanthogranulomatosis with extensive calcification of the ventriculus and other coelomic structures. Bile acids were also elevated. The bird was treated with prednisolone.
How did we do? |
Disclaimer: The summary generated in this email was created by an AI large language model. Therefore errors may occur. Reading the article is the best way to understand the scholarly work. The figure presented here remains the property of the publisher or author and subject to the applicable copyright agreement. It is reproduced here as an educational work. If you have any questions or concerns about the work presented here, reply to this email.