- Veterinary View Box
- Posts
- Bronchial cartilage hypoplasia, an underlying cause for Congenital lobar emphysema
Bronchial cartilage hypoplasia, an underlying cause for Congenital lobar emphysema
VRU 2010
JEFFREY RUTH, NATHALIE RADEMACHER, DANIEL OGDEN, DANIEL RODRIGUEZ, LORRIE GASCHEN
Background:
Congenital lobar emphysema (CLE) is a rare pulmonary condition characterized by overinflation of a lung lobe due to bronchial cartilage abnormalities, leading to lobar bronchial collapse. While commonly recognized in children, it has also been reported in dogs, typically presenting in young animals with acute respiratory distress. This case report describes the clinical presentation, imaging findings, diagnosis, and treatment outcome of CLE in a 14-week-old West Highland White Terrier.
Methods:
A 14-week-old female dog presented with acute dyspnea. Diagnostic work-up included thoracic radiographs and computed tomography (CT). Radiographs identified a hyperlucent, enlarged caudal portion of the left cranial lung lobe and a diffuse interstitial-to-alveolar pattern in other lung regions. CT further evaluated the structural abnormalities, confirming hypoattenuation and focal bronchial narrowing. The dog underwent surgical resection of the affected lung lobe, followed by histopathologic examination and bacterial culture.
Results:
Radiographs and CT identified severe hyperinflation and hypoattenuation of the caudal part of the left cranial lung lobe, with mediastinal shift and reduced vascular markings. CT revealed bronchial narrowing without evidence of extrinsic compression or torsion. Histology confirmed bronchial cartilage hypoplasia and overdistended alveoli. The diffuse pulmonary pattern was attributed to noncardiogenic edema. Postoperatively, radiographic signs of pulmonary opacity resolved, and the dog returned to normal health five months after surgery.
Limitations:
The etiology of the diffuse interstitial lung pattern could not be definitively confirmed histologically, likely due to resolution of edema prior to tissue sampling. Only a single peripheral lung section was examined histologically, which may have limited identification of diffuse pathological changes. The diagnosis of noncardiogenic edema was therefore presumptive.
Conclusions:
This case confirms congenital lobar emphysema as a differential diagnosis for young dogs presenting with acute respiratory distress and unilateral lobar hyperlucency. CT imaging is valuable in identifying bronchial abnormalities and guiding surgical planning. Surgical resection of the affected lobe can be curative, as demonstrated by the favorable outcome in this case.

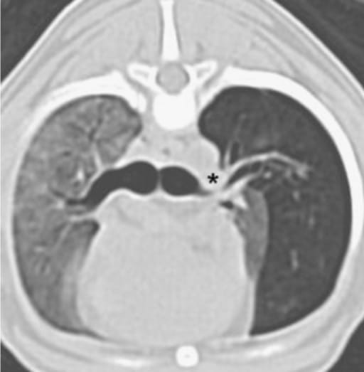
Fig. 4. Postcontrast transverse CT image at the level of T6. Note the hyperlucency of the caudal part of the left cranial lung lobe and focal nar- rowing of the bronchus to that lobe. A pulmonary artery is located just dorsal to the narrowed bronchus (asterisk).
How did we do? |
Disclaimer: The summary generated in this email was created by an AI large language model. Therefore errors may occur. Reading the article is the best way to understand the scholarly work. The figure presented here remains the property of the publisher or author and subject to the applicable copyright agreement. It is reproduced here as an educational work. If you have any questions or concerns about the work presented here, reply to this email.