Aurélie Lyssens 1, Géraldine Bolen 1, Aline Fastrès 2, Cécile Clercx 1, Frédéric Billen 1
Background
Bronchiectasis (BE) and bronchomalacia (BM) are chronic airway diseases in dogs with overlapping clinical features and poorly understood pathogenesis. The combined occurrence of BE and BM (BEBM) has been noted clinically but remains under-investigated. This retrospective study aimed to determine whether BE, BM, and BEBM, as diagnosed by bronchoscopy, represent distinct clinical entities by comparing clinicopathological features and evaluating the concordance of radiographic and computed tomography (CT) imaging with endoscopic diagnoses.
Methods
The study retrospectively analyzed data from 65 dogs presented between 2014 and 2021 and diagnosed with BE, BM, or BEBM based on bronchoscopy. Inclusion required high-quality bronchoscopy video, bronchoalveolar lavage fluid (BALF) analysis, and available imaging (radiography or CT). Dogs were grouped as E-BE, E-BM, or E-BEBM. Clinical signs, bloodwork, BALF cytology, bacterial cultures, qPCR, and imaging findings were assessed. Two blinded reviewers confirmed bronchoscopic diagnoses, and imaging studies were evaluated by a board-certified radiologist. Statistical analyses included Chi-square and Kruskal–Wallis tests, among others.
Results
Minimal clinicopathological differences were observed among the three groups. Only lung crackles on auscultation were significantly more common in E-BEBM. No significant differences were found in total cell counts or neutrophil percentages in BALF. Bacterial infections occurred in 15% of dogs without group-specific prevalence. Radiographic agreement with endoscopic diagnosis was poor (e.g., 18.1% for E-BE), while CT showed better alignment for E-BE (100%) but limited concordance for E-BM (50%) and E-BEBM (40%). BAR measurements varied but did not consistently distinguish between groups. Chronic bronchitis was the most common final diagnosis across all groups.
Limitations
This study was limited by its retrospective nature, lack of standardized protocols for bronchoscopy and imaging, interobserver variability in bronchoscopic assessment, and limited use of CT scans. Potential confounding from prior use of corticosteroids or antibiotics could not be fully excluded. Additionally, the study lacked standardized severity scoring for clinical signs and relied on subjective assessments.
Conclusions
The study found limited clinical, cytological, or microbiological differences among dogs with BE, BM, and BEBM as diagnosed by bronchoscopy. Imaging modalities, especially radiography, showed poor diagnostic concordance with endoscopy. These findings challenge the clinical utility of differentiating between these entities for diagnostic or therapeutic decision-making. Treatment decisions should instead prioritize detailed BALF analysis and microbiological testing. Prospective studies are needed to determine whether specific management strategies based on these endoscopic patterns could improve clinical outcomes.

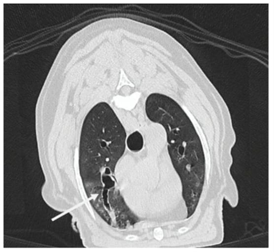
Transverse computed tomography image (lung window) in expiratory phase of a dog with severe bronchiectasis. Presence of an irregular dilation in longitudinal section of the stem bronchus of the right cranial lung lobe (white arrow). This dilation is associated with bronchial wall thickening along the entire length and takes on a saccular appearance toward the periphery. A heterogeneous increase in lung parenchymal attenuation is also present, taking on a ground-glass opacification.
How did we do?
Disclaimer: The summary generated in this email was created by an AI large language model. Therefore errors may occur. Reading the article is the best way to understand the scholarly work. The figure presented here remains the property of the publisher or author and subject to the applicable copyright agreement. It is reproduced here as an educational work. If you have any questions or concerns about the work presented here, reply to this email.

