Hyesoo Shim, Jongmo Lee, Seunghoon Choi, Jayon Kim, Jeongyun Jeong, Changhyun Cho, Hyungseok Kim, Jee-in Kim, Jaehwan Kim, Kidong Eom
The study aimed to develop and evaluate a deep learning-based diagnostic model for canine stifle joint diseases, which are common and challenging to diagnose. The model used two deep learning models: a region-based convolutional neural network (R-CNN) for extracting stifle joint regions from radiographs, and a residual network (ResNet) for classifying four radiographic findings: patellar deviation, drawer sign, osteophyte formation, and joint effusion. The model achieved high accuracy in both implant and growth plate groups, exceeding 80%, and comparable to or slightly better than those of veterinarians. However, the model had low sensitivity for drawer signs, which need further improvement. The study suggested that deep learning-based diagnoses can be useful and reliable for veterinary medicine.

Comparison of the Gradient-weighted Class Activation Mapping for the joint effusion classification model. A, Correctly localized example. B, poorly localized example. C, image with implant. If the model accurately localized the radiographic findings, the infrapatellar fat pad region is marked in red. Otherwise, if the model poorly was localized, the color map is seen in the distributions. Gradient-weighted Class Activation Mapping for images with implants show that the CNN model paid the strongest attention to the implant.

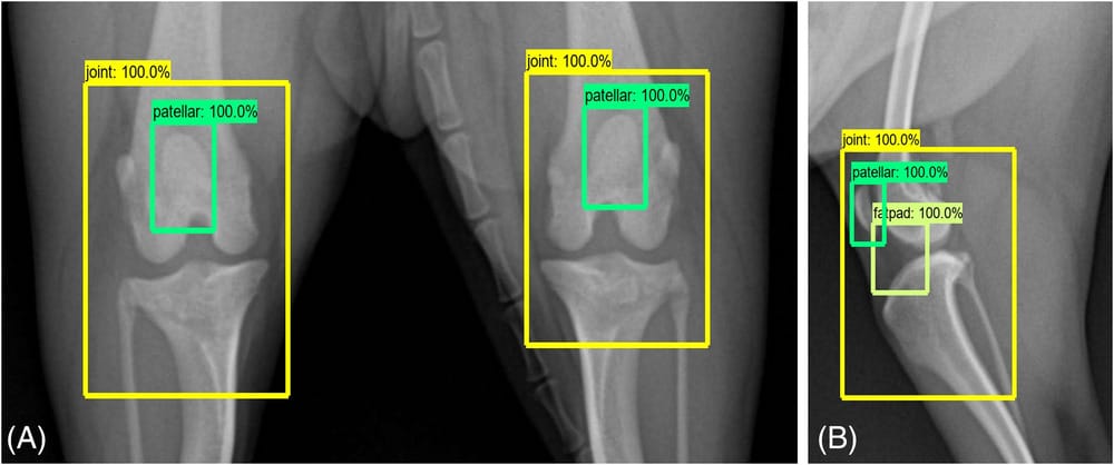
Detecting the components of the stifle joint using a Faster Region-based Convolutional Neural Network. A, Craniocaudal view. B, mediolateral view. The components of the stifle joint (i.e., stifle joint region, patella, infrapatellar fat pad region) are displayed through bounding boxes. The number on the upper left side of the bounding boxes indicates detection accuracy.
How did we do?
Disclaimer: The summary generated in this email was created by an AI large language model. Therefore errors may occur. Reading the article is the best way to understand the scholarly work. The figure presented here remains the property of the publisher or author and subject to the applicable copyright agreement. It is reproduced here as an educational work. If you have any questions or concerns about the work presented here, reply to this email.
