A. C. Bensfield, J. Evans, J. P. Pesayco, A. P. Mizisin, G. D. Shelton
Background
Peripheral neuropathies in cats are poorly characterized, with few well-defined syndromes outside of diabetic and metabolic causes. The authors identified a recurring clinical pattern of neuromuscular weakness in young Bengal cats and aimed to characterize the clinical presentation, pathological features, and outcomes of this suspected chronic-relapsing polyneuropathy affecting the peripheral nervous system.
Methods
This retrospective multicenter study included 37 young Bengal cats with clinical signs of lower motor neuron dysfunction and histologically confirmed polyneuropathy based on muscle and/or peripheral nerve biopsies. Clinical records were reviewed for signalment, neurological findings, diagnostic testing, treatment, and outcome. Muscle and nerve biopsy specimens were evaluated using light microscopy, histochemistry, electron microscopy, and morphometric analysis. Electrodiagnostic testing and imaging findings were recorded when available.
Results
Affected cats typically presented at a young age with pelvic limb weakness progressing to involve all limbs, decreased spinal reflexes, and muscle atrophy. Electrodiagnostic testing frequently showed spontaneous activity and reduced motor nerve conduction velocities. Histopathology consistently demonstrated loss of myelinated fibers in intramuscular nerve branches and features of repeated demyelination and remyelination in peripheral nerves, including thin myelin sheaths and onion-bulb formations. Axonal degeneration was uncommon. Clinical recovery occurred in most cats regardless of treatment, though relapses were frequent. Complete recovery was reported in approximately half of the cats, while others had mild residual deficits.
Limitations
The study was retrospective and multicenter, resulting in variability in diagnostic testing, imaging, treatment protocols, and clinical reporting. Treatment regimens were not standardized, limiting conclusions regarding therapeutic efficacy. Electrodiagnostic and imaging data were incomplete across cases.
Conclusions
A chronic-relapsing polyneuropathy characterized primarily by demyelination and remyelination was identified in young Bengal cats. Despite dramatic clinical signs and frequent relapses, the prognosis for functional recovery was generally good. The findings support a likely inflammatory or immune-mediated peripheral neuropathy with a suspected breed predisposition, though a specific etiology remains undetermined.

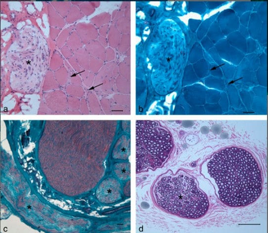
Muscle biopsies from Bengal cats with polyneuropathy were evaluated in serial cryosections. The most frequent pathological changes observed with the H&E (a) and modified Gomori trichrome (b) stains included the presence of atrophic fibers having an angular to anguloid shape (a, arrows) and occurring in small (a, b) and large (not shown) groups, and variable loss of myelinated fibers in intramuscular nerve branches (a, b) with some nerve branches showing marked fiber loss and fibrosis (asterisks). Peripheral nerve biopsies from Bengal cats with polyneuropathy were evaluated in frozen sections with the modified Gomori trichrome stain (c) and in plastic sections (d) stained with toluidine blue-basic fuschin. Variability in severity of pathological changes between nerve fascicles was commonly observed in both frozen (c) and resin sections (d) with some fascicles relatively normal in appearance adjacent to other fascicles showing pathological changes (asterisks highlight abnormal fascicles in c and d). Bar = 50 μm for (a), (b) ,(c) and 100 μm for (d).
How did we do?
Disclaimer: The summary generated in this email was created by an AI large language model. Therefore errors may occur. Reading the article is the best way to understand the scholarly work. The figure presented here remains the property of the publisher or author and subject to the applicable copyright agreement. It is reproduced here as an educational work. If you have any questions or concerns about the work presented here, reply to this email.

