- Veterinary View Box
- Posts
- CT Clarity: Optimal Contrast Protocols for Imaging the Equine Distal Limb Defined
CT Clarity: Optimal Contrast Protocols for Imaging the Equine Distal Limb Defined
Equine Veterinary Journal 2025
Seyoung Lee, Kwang-Yun Shin, Kija Lee, Jong-pil Seo
Background:
Contrast-enhanced computed tomography (CECT) is an emerging tool for evaluating equine distal limb structures such as the deep digital flexor tendon (DDFT) and associated vasculature. Despite increased clinical application, optimal scanning parameters and contrast media (CM) protocols remain poorly defined. This study aimed to assess the effects of varying CM concentration, volume, and injection rate, along with CT voltage settings, on contrast enhancement (CE) of the DDFT and palmar digital veins in Jeju horses.
Methods:
Six healthy Jeju horses underwent 54 intra-arterial CECT scans under general anesthesia. The first phase evaluated CE based on CM concentration (90–150 mg I/mL) and CT voltage (80 vs. 120 kV) using 50 mL contrast at 2 mL/s. The second phase explored combinations of CM volume (50–150 mL), rate (2–6 mL/s), and iodine delivery rate (IDR: 180 or 300 mg I/s), keeping total iodine dose constant. Hounsfield units (HU) were measured in the DDFT and medial/lateral palmar veins at four anatomical sites. CTDIvol, injector pressure, and anesthesia time were recorded.
Results:
Contrast enhancement of the DDFT was significantly higher at 80 kV with 150 mg I/mL CM (p < 0.05), showing a strong positive correlation with CM concentration (r = 0.75). Under fixed IDR (300 mg I/s), increasing CM volume or rate decreased DDFT enhancement but increased vein enhancement. At lower IDR (180 mg I/s), all enhancement metrics dropped significantly, particularly in groups using 30 mg I/mL CM. A CE of >900 HU was adequate to distinguish veins from surrounding structures. Most horses tolerated intra-arterial injections well, though one artery rupture was observed after high-pressure injection.
Limitations:
The study used a small sample size and included only healthy limbs. Only transverse imaging planes were assessed. Application of findings to horses with limb pathology or different breeds may be limited. Follow-up assessments were limited to short-term outcomes.
Conclusions:
Low-voltage CT (80 kV) and high-concentration CM (150 mg I/mL) optimally enhance the DDFT in intra-arterial CECT. For vascular enhancement, higher CM volumes and injection rates improve CE, provided the CM concentration is not too low. This study offers valuable guidance for tailoring CECT protocols to visualize soft tissue and vascular structures in the equine distal limb.

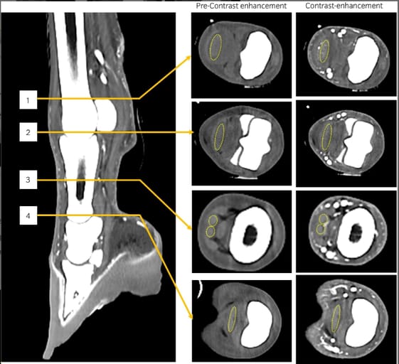
Measurements of Hounsfield unit (HU) of the deep digital flexor tendon (DDFT; yellow dash line) at four sites: (1) proximal margin of the proximal sesamoid bone; (2) distal margin of the proximal sesamoid bone; (3) mid-level of the proximal phalangeal bone; and (4) level of the proximal phalangeal joint.
How did we do? |
Disclaimer: The summary generated in this email was created by an AI large language model. Therefore errors may occur. Reading the article is the best way to understand the scholarly work. The figure presented here remains the property of the publisher or author and subject to the applicable copyright agreement. It is reproduced here as an educational work. If you have any questions or concerns about the work presented here, reply to this email.