- Veterinary View Box
- Posts
- CT Clues for Canine Ear Canal Tumors: Why Imaging Alone Can’t Distinguish Benign vs Malignant
CT Clues for Canine Ear Canal Tumors: Why Imaging Alone Can’t Distinguish Benign vs Malignant
VRU 2026
Computed Tomographic Features of Benign and Malignant External Ear Canal Neoplasms in 39 Dogs
Kaylynn Veitch, Christine Gremillion, Gwendolyn Levine, Cambridge Coy, Megan Wisnoski, John F. Griffin IV, Kenneth Waller
Background
Computed tomography (CT) is commonly used to evaluate ear disease in dogs, including chronic otitis externa, neurologic signs, and external ear canal masses, as well as for surgical planning such as total ear canal ablation and bulla osteotomy. Despite its widespread use, there is limited literature describing CT characteristics of specific external ear canal neoplasms or comparing benign and malignant tumor types. This study aimed to describe CT features of histopathologically confirmed canine external ear canal neoplasia and determine whether distinct CT characteristics could differentiate benign from malignant tumors.
Methods
This retrospective, multicenter, cross-sectional study evaluated dogs from two veterinary institutions with histopathologically confirmed external ear canal neoplasia. Dogs were included if a contrast-enhanced CT scan was performed within 30 days of histopathologic diagnosis. Medical records and CT images were reviewed for demographic information, clinical history, and tumor characteristics. Two board-certified veterinary radiologists evaluated CT images by consensus, assessing mass morphology, location, attenuation characteristics, contrast enhancement patterns, involvement of adjacent structures, bone changes, and lymph node enlargement.
Results
The final study population consisted of 39 dogs with 41 external ear canal tumors, with a median age of 10 years. The most common tumor types were ceruminous gland adenocarcinoma (13/41) and ceruminous gland adenoma (11/41). Most masses were soft tissue attenuating and contrast-enhancing on CT. Tumors were most frequently located in the horizontal ear canal (49%), followed by the vertical ear canal (41%). Chronic ear canal changes such as mineralization, thickening, fluid, debris, and stenosis were common.
Many CT features overlapped between benign and malignant tumors. However, malignant tumors more frequently demonstrated heterogeneous attenuation, heterogeneous contrast enhancement, aggressive periosteal proliferation, and compression or invasion of adjacent structures such as the pharynx, parotid salivary gland, or surrounding musculature. Both benign and malignant tumors could show aggressive changes including tympanic bulla osteolysis and calvarial bone destruction. Regional lymphadenopathy was also common.
Limitations
Several limitations were noted by the authors. The study was retrospective and dependent on available medical records, which sometimes lacked detailed clinical histories. Many dogs had chronic otitis externa, and the effect of concurrent inflammatory disease on CT interpretation was unclear. Case selection may have been biased toward dogs with more severe disease because many were identified through TECA-BO procedures. Additionally, the number of cases for each tumor type was relatively small, limiting statistical analysis and making the study primarily descriptive.
Conclusions
CT findings of benign and malignant canine external ear canal tumors show substantial overlap. Although malignant tumors more commonly exhibit heterogeneous enhancement, aggressive periosteal reaction, and invasion of adjacent structures, benign tumors can demonstrate similar aggressive features. Consequently, CT imaging alone cannot reliably distinguish benign from malignant external ear canal neoplasms, and biopsy with histopathologic examination remains essential for definitive diagnosis.

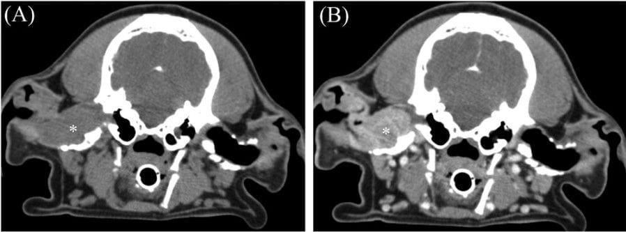
Pre-contrast (A) and post-contrast (B) transverse images in a soft tissue algorithm (WW/WL 400/40 HU) in a 9-year-old male castrated cocker spaniel with a ceruminous gland adenocarcinoma centered on the right horizontal ear canal. This mass is homogeneously soft tissue attenuating and heterogeneously contrast-enhancing. This mass causes destruction of the horizontal ear canal. Note the severe mineralization and thickening of the external ear canals bilaterally.
How did we do? |
Disclaimer: The summary generated in this email was created by an AI large language model. Therefore errors may occur. Reading the article is the best way to understand the scholarly work. The figure presented here remains the property of the publisher or author and subject to the applicable copyright agreement. It is reproduced here as an educational work. If you have any questions or concerns about the work presented here, reply to this email.