- Veterinary View Box
- Posts
- CT Ratios Reveal Early Lung Changes in Feline Heartworm Before Vascular Damage Appears
CT Ratios Reveal Early Lung Changes in Feline Heartworm Before Vascular Damage Appears
Animals 2025
Sara Nieves García-Rodríguez; Jorge Isidoro Matos; Laín García-Guasch; Eva Mohr-Peraza; José Alberto Montoya-Alonso; Elena Carretón
Background
Feline heartworm disease caused by Dirofilaria immitis is difficult to diagnose, particularly during immature infections, due to nonspecific clinical signs and limited sensitivity of antigen and serological tests. In cats, early disease is often associated with Heartworm-Associated Respiratory Disease (HARD), characterized by inflammatory pulmonary changes that may precede overt vascular involvement. Computed tomography (CT) offers detailed visualization of bronchial and vascular structures and allows quantitative assessment of their relationships. However, bronchus-to-artery (BA), bronchus-to-vein (BV), and pulmonary vein-to-artery (PV/PA) ratios had not previously been evaluated in cats naturally infected with immature D. immitis.
Methods
This observational study included 38 cats: 30 seropositive cats with respiratory signs compatible with HARD and 8 seronegative, asymptomatic control cats. All cats underwent thoracic CT under general anesthesia with contrast administration. Bronchial lumen, pulmonary artery, and pulmonary vein diameters were measured in predefined lung lobes using transverse CT images. BA, BV, and PV/PA ratios were calculated and compared between groups and among lung lobes using nonparametric statistical tests with correction for multiple comparisons.
Results
Seropositive cats showed significantly increased BA and BV ratios in nearly all lung lobes compared with seronegative controls, indicating generalized bronchial dilation. Bronchial diameters were also significantly larger in several lobes in infected cats. In contrast, PV/PA ratios did not differ significantly between seropositive and seronegative cats, suggesting limited early involvement of pulmonary arteries and veins. Within the seropositive group, BA and BV ratios varied significantly among lung lobes, with lower values in the accessory lobe. All cats tested negative for circulating D. immitis antigens, consistent with immature infections.
Limitations
The study population was relatively small, and the duration of infection and parasite burden were unknown. Antibody positivity could not distinguish between active and past infections, contributing to heterogeneity within the seropositive group. Image acquisition was not standardized to a specific respiratory phase, and the investigator performing measurements was aware of the cats’ serological status, introducing potential measurement bias.
Conclusions
Computed tomography identified early pulmonary involvement in cats naturally infected with immature D. immitis, characterized predominantly by bronchial remodeling rather than vascular changes. Increased BA and BV ratios were sensitive indicators of early bronchial involvement, while PV/PA ratios remained unchanged. Quantitative CT assessment of bronchial–vascular relationships may complement conventional diagnostics and improve presumptive diagnosis of feline heartworm disease, particularly in endemic regions and in cases with inconclusive serology.

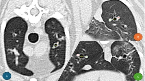
Transverse CT images of the thorax from three seropositive and symptomatic cats with findings compatible with Heartworm-Associated Respiratory Disease (HARD). Colored lines indicate the measurements of the pulmonary artery (red), bronchial lumen (yellow), and pulmonary vein (green), from lateral to medial, respectively. (A) Left cranial lobe (cranial subsegment) at T4–T5. (B) Left caudal lobe at T9–T10. (C) Right caudal lobe at T9–T10.
How did we do? |
Disclaimer: The summary generated in this email was created by an AI large language model. Therefore errors may occur. Reading the article is the best way to understand the scholarly work. The figure presented here remains the property of the publisher or author and subject to the applicable copyright agreement. It is reproduced here as an educational work. If you have any questions or concerns about the work presented here, reply to this email.