Jaymie N. Zweig; S. Christopher Ralphs
Background
Tibial tuberosity avulsion fractures (TTAF) typically occur in skeletally immature dogs and are commonly treated surgically, although non-surgical management is also used in selected cases. While short-term outcomes are generally favourable, the long-term effects of TTAF and its treatment on proximal tibial morphology and patellar position at skeletal maturity have not been well characterised. The authors aimed to evaluate radiographic morphology and clinical outcomes of dogs with previously treated TTAF after reaching skeletal maturity, comparing surgical and non-surgical management.
Methods
This retrospective, single-centre cohort study included skeletally mature dogs previously treated for unilateral TTAF between 2016 and 2023. Dogs underwent follow-up orthopaedic examination and bilateral mediolateral stifle radiography. Radiographic measurements included tibial plateau angle (TPA), patellar position (PP), and axial and transverse tibial tuberosity position (TTP-A, TTP-T). Dogs were grouped by treatment method: open reduction and internal fixation (ORIF) with pins only, ORIF with pins and tension band, or non-surgical management with casting. Outcomes were assessed via lameness examination and owner-reported function.
Results
Twenty-one dogs were included. Surgically managed TTAF stifles demonstrated significant alterations in proximal tibial morphology at skeletal maturity, including decreased TPA and transverse tibial tuberosity position, with increased axial tibial tuberosity position and patellar position compared with contralateral normal stifles. These changes were not observed in non-surgically managed dogs. All surgically treated dogs had excellent clinical outcomes with no lameness, stifle instability, or patellar luxation. In the non-surgical group, outcomes were reported as good to excellent; however, two dogs developed medial patellar luxation.
Limitations
The study was limited by its retrospective design, small sample size, incomplete owner participation, lack of standardised treatment protocols, and potential case-selection bias. Radiographic measurements were obtained by a single, non-blinded observer, and only mediolateral radiographs were evaluated, limiting assessment of mediolateral tibial tuberosity alignment.
Conclusions
Surgical management of TTAF in dogs results in measurable alterations in tibial tuberosity position and patellar position at skeletal maturity but is associated with excellent long-term clinical outcomes. Non-surgical management preserves proximal tibial morphology and yields good to excellent function but may carry an increased risk of medial patellar luxation. Surgical repair remains a reliable treatment option, while non-surgical management may be appropriate in selected cases with minimal displacement.

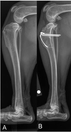
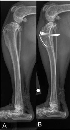
Radiograph of a 1-year-old female mixed breed dog (Case 14).
(A) Normal stifle. (B) Tibial tuberosity avulsion fracture stifle treated
surgically with pin and tension band (group TB).
How did we do?
Disclaimer: The summary generated in this email was created by an AI large language model. Therefore errors may occur. Reading the article is the best way to understand the scholarly work. The figure presented here remains the property of the publisher or author and subject to the applicable copyright agreement. It is reproduced here as an educational work. If you have any questions or concerns about the work presented here, reply to this email.

