- Veterinary View Box
- Posts
- Fast, Simple, and Successful: A Minimally Invasive Fix for Canine Dacryocystitis
Fast, Simple, and Successful: A Minimally Invasive Fix for Canine Dacryocystitis
Veterinary Ophthalmology, 2025
Ingrid Allgoewer, Petr Soukup, Eberhard Ludewig
Background
Foreign body-induced dacryocystitis in dogs leads to mucopurulent ocular discharge and nasolacrimal duct obstruction, often unresponsive to medical management. Traditional surgical approaches are invasive, involving transosseous access or canalicular incisions. This study introduces and evaluates a minimally invasive transconjunctival dacryocystotomy technique that permits full inspection of the lacrimal sac while avoiding bone disruption or permanent canalicular damage.
Methods
This retrospective study included 48 dogs treated from 2003 to 2023 with presumed foreign body-induced dacryocystitis who underwent surgical exploration via the transconjunctival approach. The technique involved conjunctival incision and blunt dissection to expose the lacrimal sac, allowing foreign body removal. An indwelling catheter was placed in most cases postoperatively. Outcome measures included nasolacrimal duct patency, catheter retention time, and postoperative complications, with a median follow-up of 34 days.
Results
Foreign bodies (mostly grass awns) were identified in 85% (41/48) of cases, typically lodged just proximal to the lacrimal foramen. Indwelling catheters were successfully placed in 83% of dogs for a median duration of 21 days. The nasolacrimal duct was patent at last recheck in 87% of cases (41/47). Minor complications included self-removal of the catheter in two dogs and irritation in one. Clinical resolution of dacryocystitis was achieved in all cases with long-term follow-up.
Limitations
Advanced imaging was not employed, relying solely on clinical signs for diagnosis. Not all cases had bacterial culture or histopathologic confirmation. The lack of long-term follow-up in some dogs and variability in catheter use may have affected assessment of persistent duct patency.
Conclusions
The transconjunctival approach to dacryocystotomy is a safe, quick, and effective surgical technique for managing foreign body-induced dacryocystitis in dogs. It minimizes trauma and preserves nasolacrimal function, with high success in reestablishing duct patency and resolving clinical signs. It represents a practical alternative to more invasive methods and warrants broader clinical adoption.

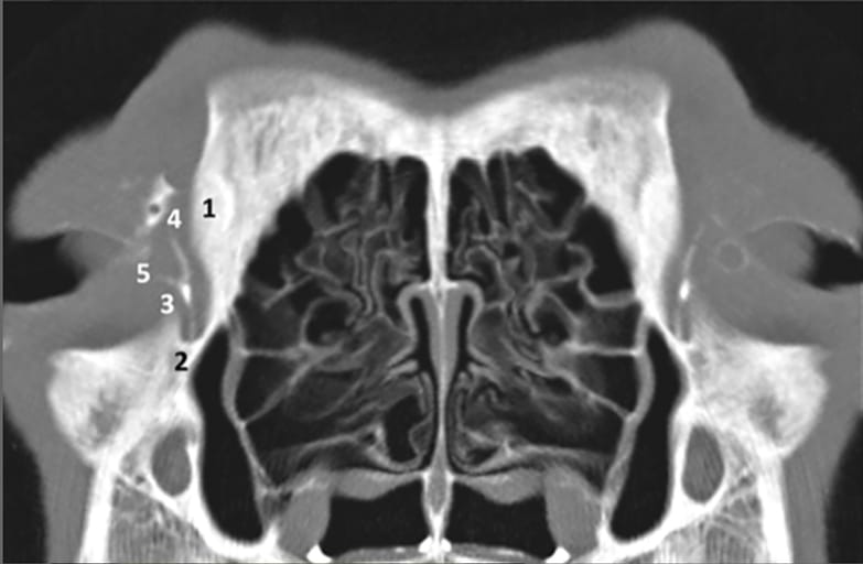
Transverse CT image (CT-Dacryocystography) of a normal mesocephalic dog at the level of the lacrimal fossa (bone window). The frontal process (1) and the lacrimal fossa (2) are easily seen. The lacrimal drainage system is filled with contrast medium (1:2 mixture of Omnipaque® 300 and methyl cellulose Adatocel®) and the upper (4) and lower (5) canaliculi, with its union in the lacrimal sac (3), are visible.
How did we do? |
Disclaimer: The summary generated in this email was created by an AI large language model. Therefore errors may occur. Reading the article is the best way to understand the scholarly work. The figure presented here remains the property of the publisher or author and subject to the applicable copyright agreement. It is reproduced here as an educational work. If you have any questions or concerns about the work presented here, reply to this email.