- Veterinary View Box
- Posts
- Fat-Suppressed MRI Outperforms 3D-GRE for Detecting Meningeal Disease in Cats and Dogs
Fat-Suppressed MRI Outperforms 3D-GRE for Detecting Meningeal Disease in Cats and Dogs
Frontiers in Veterinary Science 2025
Florian Graf, Matthias Dennler, Katrin Beckmann, Nico Mauri, Mariano Makara, Adriano Wang-Leandro
Background
Otitis media–interna in dogs and cats can lead to serious intracranial complications, making early and accurate detection of meningeal enhancement essential. MRI is the primary diagnostic tool, but the optimal T1-weighted post-contrast sequence for detecting meningeal pathology remains unclear. Previous studies indicate potential benefits of fat-suppression for enhancing detection, yet no direct comparison had been performed between fat-suppressed turbo-spin-echo T1-weighted (FS-TSE-T1W) sequences and 3D-gradient-echo T1-weighted (3D-GRE-T1W) sequences. This study aimed to determine which sequence better detects meningeal enhancement and to assess observer agreement.
Methods
This retrospective study evaluated MRI examinations (2017–2023) of dogs and cats diagnosed with otitis media–interna, requiring availability of both FS-TSE-T1W and 3D-GRE-T1W post-contrast sequences. A control group was selected based on normal neurological exams, normal CSF (when available), and complete bilateral cochlear suppression on T2-FLAIR. Five blinded observers independently reviewed each sequence twice, assessing presence and characteristics of meningeal enhancement. Detection rates were statistically compared via Student’s t-test, while inter- and intra-observer agreement was evaluated using Fleiss’ and weighted kappa statistics.
Results
A total of 141 animals (61 dogs, 80 cats) met inclusion criteria: 120 with otitis media–interna and 21 controls. Observers detected meningeal enhancement significantly more frequently with FS-TSE-T1W than with 3D-GRE-T1W (p < 0.01), a difference driven primarily by feline cases. Detection did not differ significantly between sequences in dogs. Inter-observer agreement was substantial for both FS-TSE-T1W (κ = 0.735) and 3D-GRE-T1W (κ = 0.701), with no meaningful differences between species. Intra-observer agreement was substantial to near-perfect across all observers. Meningeal splitting was identified in up to 13 cases across both sequences. CSF abnormalities were present in 16 of 53 evaluated cases but did not reliably predict MRI enhancement.
Limitations
The study lacked histopathologic confirmation of meningeal pathology, limiting definitive classification of true versus false positives. MRI acquisition parameters varied due to the retrospective design. Potential recall and cognitive bias could not be fully excluded despite anonymization and randomization. Evaluation focused solely on the two sequences of interest, without inclusion of subtraction imaging or other advanced techniques that may influence diagnostic performance.
Conclusions
FS-TSE-T1W sequences demonstrated a significantly higher detection rate of meningeal enhancement than 3D-GRE-T1W, particularly in cats. Despite this increased sensitivity, both sequences achieved similarly high inter- and intra-observer agreement. Incorporating a post-contrast FS-TSE-T1W sequence into standard MRI protocols for evaluating otitis media–interna in dogs and cats appears justified, though caution is warranted to avoid over-interpretation of normal meningeal patterns.

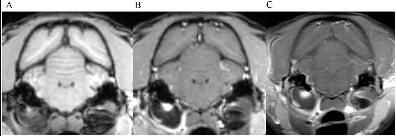
Transverse images at the level of the tympanic bullae. Example of perfect inter-observer agreement in the FS-TSE-T1W sequence in a cat. (A) is the T1W-pre-contrast image. 5/5 observers did not detect meningeal enhancement in the 3D-GRE-T1W (B), but agreed on detection in the FS-TSE-T1W (C). Meningeal enhancement was graded as focal and mild by all observers.
How did we do? |
Disclaimer: The summary generated in this email was created by an AI large language model. Therefore errors may occur. Reading the article is the best way to understand the scholarly work. The figure presented here remains the property of the publisher or author and subject to the applicable copyright agreement. It is reproduced here as an educational work. If you have any questions or concerns about the work presented here, reply to this email.