- Veterinary View Box
- Posts
- First Reported Case of Fibrosing Mediastinitis in a Dog — A Rare Canine Respiratory Syndrome
First Reported Case of Fibrosing Mediastinitis in a Dog — A Rare Canine Respiratory Syndrome
Veterinary Medicine and Science 2025
Kyle L. Granger Jr., Julien Guillaumin, Kurt Williams, Sarah Shropshire, Alex Ohlendorf, Kelly E. Hall
Background
Fibrosing mediastinitis (FM) is a rare, potentially fatal disorder characterized by excessive fibrous tissue proliferation within the mediastinum, leading to compression of vital thoracic structures. In humans, FM often arises secondary to granulomatous infections such as Histoplasma or Mycobacterium tuberculosis but may also occur idiopathically or following autoimmune or radiation-induced injury. Clinical signs range from asymptomatic incidental findings to severe respiratory distress. Prior to this report, FM had not been documented in dogs.
Methods
A 5-year-old male neutered Labrador Retriever was referred for progressive respiratory distress, coughing, anorexia, and facial swelling. Diagnostic work-up included thoracic radiography, point-of-care ultrasound (POCUS), computed tomography (CT), and serial thoracocenteses. Laboratory testing involved cytology of pleural and lymph node samples, blood gas analysis, complete blood counts, biochemistry panels, and PCR screening for Francisella tularensis and Yersinia pestis. Post-mortem gross and histopathological examinations were performed with special stains (GMS, PAS, Gram) and immunohistochemistry.
Results
Imaging revealed pleural effusion, a mediastinal mass-like structure compressing the trachea, oesophagus, and pulmonary veins, and enlarged tracheobronchial lymph nodes. Cytology showed pyogranulomatous inflammation without infectious organisms. Despite antimicrobial therapy and oxygen support, the dog’s condition deteriorated, with worsening facial edema and dysphagia. Euthanasia was elected due to poor prognosis. Necropsy identified a large fibrotic mediastinal mass with severe chronic granulomatous inflammation, vasculitis, and fibrosis consistent with fibrosing mediastinitis. No infectious agents were detected on histopathology or special stains.
Limitations
The absence of serologic or molecular confirmation for infectious etiologies (e.g., fungal pathogens) leaves some uncertainty regarding pathogenesis. Additionally, due to the dog’s clinical deterioration, advanced diagnostic interventions such as tissue biopsy or therapeutic trials were not attempted.
Conclusions
This case represents the first report of fibrosing mediastinitis in a dog, expanding the known species affected by this rare condition. Diagnosis was supported by characteristic imaging and histopathologic findings of fibrotic mediastinal inflammation without infectious or neoplastic causes. The case highlights the importance of considering idiopathic FM in dogs presenting with pleural effusion, respiratory compromise, and mediastinal masses. Advanced imaging and histopathology remain critical for diagnosis, though treatment options are limited and prognosis poor.

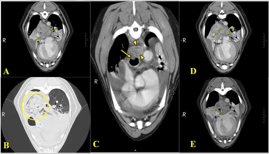
Computed tomography (CT) images of a canine thoracic cavity of a dog with fibrosing mediastinitis. In image A, an axial CT image reveals a heterogeneously enhancing mass within the right caudal lung lobe (yellow asterisk), adjacent to an enlarged middle tracheobronchial lymph node (between arrows). In image B, an axial view of the right caudal lung lobe displays a dense alveolar pattern (yellow circle). Image C shows esophageal thickening (between arrowheads) and moderate thickening of the dorsal tracheal membrane (arrow). Image D, there is marked narrowing of the right caudal lung lobe bronchus with significant peribronchial and bronchial soft tissue thickening and rim enhancement (between arrows), while the left caudal lung lobe bronchus is less severely affected (between arrowheads). Image E demonstrates fluid within the right caudal lung lobe bronchus (between arrows).
How did we do? |
Disclaimer: The summary generated in this email was created by an AI large language model. Therefore errors may occur. Reading the article is the best way to understand the scholarly work. The figure presented here remains the property of the publisher or author and subject to the applicable copyright agreement. It is reproduced here as an educational work. If you have any questions or concerns about the work presented here, reply to this email.