- Veterinary View Box
- Posts
- How Do Kidneys Change After Chemotherapy? Ultrasound Insights into Feline Renal Lymphoma
How Do Kidneys Change After Chemotherapy? Ultrasound Insights into Feline Renal Lymphoma
J Feline Med Surg. 2025
Alessia Cordella; Chantelle Franklin; Helen Dirrig; Stefano De Arcangeli; Jennifer Lenz
Introduction
Renal lymphoma is the most common renal neoplasm in cats and is frequently associated with nephromegaly, subcapsular hypoechoic rims, and renal nodules on ultrasonography. While ultrasonography is routinely used for diagnosis and monitoring, detailed descriptions of post-chemotherapy ultrasonographic changes in feline renal lymphoma are limited. This study aimed to characterize renal ultrasonographic features at diagnosis and after chemotherapy and to correlate imaging findings with clinical status and renal function markers.
Methods
This multicenter retrospective study included cats with cytological or histological confirmation of renal lymphoma that received multiagent chemotherapy and had renal ultrasonographic examinations available both at diagnosis (T0) and after treatment initiation (T1). All cats were treated with COP-based chemotherapy protocols, with cytarabine added in most cases. Renal ultrasound images were reviewed by a board-certified radiologist blinded to clinical data, assessing renal size, subcapsular rim, nodules/masses, pelvic distension, and perinephric changes. Clinical response, serum creatinine, and blood urea nitrogen (BUN) concentrations were recorded and compared between time points.
Results
Twenty-four cats were included, most of which had bilateral renal involvement and nephromegaly at diagnosis. At first follow-up (median 33 days), 83% of cats showed ultrasonographic improvement, characterized by reduced or resolved nephromegaly, decreased or resolved hypoechoic subcapsular rim, and reduction or disappearance of renal nodules or masses. Nephromegaly and subcapsular rim frequency were significantly reduced after chemotherapy, and renal length and nodule size decreased significantly. Most cats demonstrated parallel clinical improvement and resolution or reduction of azotemia, with significant decreases in serum creatinine and BUN concentrations.
Limitations
The retrospective design, small sample size, and variability in timing of follow-up ultrasonography limit standardization and generalizability. Only cats with confirmed renal lymphoma and available imaging follow-up were included, potentially introducing selection bias toward cats with better early outcomes.
Conclusions
Following chemotherapy, feline renal lymphoma commonly demonstrates marked improvement on ultrasonography, including normalization of renal size and resolution or reduction of subcapsular rims and renal nodules. Ultrasonographic changes frequently correlated with clinical response and improvements in renal function, supporting renal ultrasound as a valuable, non-invasive tool for monitoring treatment response in cats with renal lymphoma.

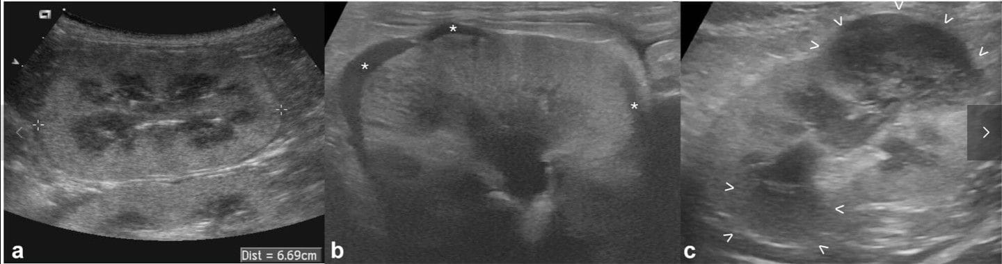
Ultrasonographic appearance of confirmed renal lymphoma at diagnosis (T0) in three cats: (a) marked nephromegaly: the caliper is measuring the renal length at 66.9 mm (range of normality is up to 44 mm); (b) hypoechoic subcapsular rim: crescent-shaped hypoechoic subcapsular thickening is seen in multiple portions of the kidney (*); and (c) renal nodules/masses: two well-defined, hypoechoic masses are visible at the cranial and caudal poles (between arrowheads)
How did we do? |
Disclaimer: The summary generated in this email was created by an AI large language model. Therefore errors may occur. Reading the article is the best way to understand the scholarly work. The figure presented here remains the property of the publisher or author and subject to the applicable copyright agreement. It is reproduced here as an educational work. If you have any questions or concerns about the work presented here, reply to this email.