Matt Goins, Antonella Puggioni, Seamus Hoey
Background
Computed tomography (CT) is widely used in small animal veterinary medicine, and incidental findings of gas within soft tissues are frequently noted. While intravascular and extravascular gas are well-documented in human medicine, their prevalence and significance in veterinary patients remain unclear. This study aimed to determine the occurrence and distribution of incidental gas in thoracic CT scans of dogs and cats without known underlying gas-related pathology.
Methods
A retrospective review of 174 thoracic CT studies (84 canine, 90 feline) was conducted at a veterinary teaching hospital. Examinations were assessed for the presence of intravascular and extravascular gas, including vertebral canal and fascial plane gas. Patients with known causes of gas formation (e.g., trauma, pneumothorax, pneumomediastinum) were excluded. CT images were evaluated in pre- and postcontrast phases by three independent reviewers. Statistical analyses were performed to compare gas prevalence between species and imaging phases.
Results
Gas was identified in 66.7% of all cases, with intravascular gas present in 65.5% and extravascular gas in 13.8%. Dogs were more likely than cats to have gas detected (75.0% vs. 58.9%; P = 0.009). Extravascular gas was found in the vertebral canal (8.6%) and fascial planes (6.3%). Intravascular gas was most commonly seen in the subscapular, axillary, and external jugular veins. Postcontrast imaging increased gas detection in dogs but not in cats.
Limitations
This was a single-institution retrospective study, limiting generalizability. The location of intravenous catheters was not consistently recorded, preventing correlation with gas presence. Additionally, some gas may have been misclassified due to CT resolution constraints.
Conclusions
Incidental gas findings are common in thoracic CT scans of dogs and cats, often without clinical significance. Intravascular gas was more prevalent than extravascular gas and was frequently detected postcontrast in dogs. Awareness of these findings can help avoid unnecessary clinical concern or additional testing. Further research is needed to explore potential iatrogenic causes and physiological mechanisms behind incidental gas accumulation.

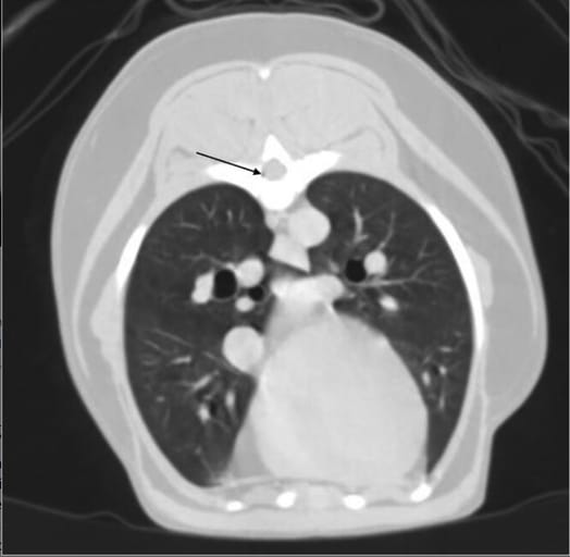
Transverse postcontrast image in lung window of a 9-year-old female spayed mixed-breed dog, presented for hindlimb weakness and lameness. Gas (black arrow) is identified within the right-ventral aspect of the vertebral canal at the level of mid-body T7 vertebral body.
How did we do?
Disclaimer: The summary generated in this email was created by an AI large language model. Therefore errors may occur. Reading the article is the best way to understand the scholarly work. The figure presented here remains the property of the publisher or author and subject to the applicable copyright agreement. It is reproduced here as an educational work. If you have any questions or concerns about the work presented here, reply to this email.

