- Veterinary View Box
- Posts
- Is Un-United Medial Epicondyle Really Part of Elbow Dysplasia? A 15% Prevalence Study in Labradors
Is Un-United Medial Epicondyle Really Part of Elbow Dysplasia? A 15% Prevalence Study in Labradors
Vet Surg 2009
Erin R. Paster; Darryl N. Biery; Dennis F. Lawler; Richard H. Evans; Richard D. Kealy; Thomas P. Gregor; Pamela J. McKelvie; Gail K. Smith
Background
Un-united medial epicondyle (UME) of the humerus is described as failure of fusion of the medial epicondyle ossification center. It has been variably classified and occasionally proposed as a component of elbow dysplasia, although its clinical relevance and relationship to osteoarthritis (OA) remain unclear. Labrador Retrievers appear overrepresented in previous reports. This longitudinal cohort study aimed to characterize the radiographic appearance of UME over time, determine its prevalence in a controlled Labrador population, evaluate its association with elbow OA, and assess its relevance to the elbow dysplasia complex.
Methods
Forty-eight Labrador Retrievers from seven litters were enrolled in a lifetime feeding study, with pair-matched dogs randomly assigned to either control feeding or 25% diet restriction beginning at 8 weeks of age. Bilateral elbow radiographs (craniocaudal and extreme flexed mediolateral projections) were obtained at 6 years, 8 years, and/or end-of-life (EOL) in 46 surviving dogs. A board-certified radiologist, blinded to feeding group, evaluated radiographs for UME, other elbow abnormalities, and OA severity based on International Elbow Working Group criteria. At EOL, gross and histopathologic evaluation of diarthrodial joints was performed; periarticular UME fragments were not examined histologically. Statistical comparisons between UME-affected dogs and the overall population were performed using Fisher’s exact test.
Results
UME was diagnosed radiographically in 7 of 46 dogs (15%), involving five of seven litters. Four affected dogs were control-fed and three were diet-restricted, indicating no effect of diet. Six of seven dogs (86%) had unilateral lesions, and one had bilateral involvement. UME was consistently visible on craniocaudal projections by 8 years of age but was detected on flexed mediolateral views in only one affected elbow. Radiographic elbow OA at EOL was present in 57% of UME-affected dogs compared with 34% of the remaining population, a difference that was not statistically significant. No dogs exhibited radiographic or histopathologic evidence of other components of elbow dysplasia (e.g., fragmented coronoid process, un-united anconeal process, osteochondritis dissecans). Histopathologic changes were generally bilateral and similar in severity even in dogs with unilateral UME.
Limitations
Radiographic evaluation began at 6 years of age, precluding assessment of earlier onset or progression of UME fragments. Histopathologic examination did not include periarticular structures or UME fragments, limiting insight into pathogenesis. The relatively small sample size may limit statistical power to detect associations.
Conclusions
UME occurred in 15% of this Labrador Retriever cohort and was predominantly unilateral. The craniocaudal radiographic projection was essential for diagnosis, whereas the flexed lateral projection alone frequently failed to identify lesions. No significant association was found between UME and elbow OA, and no concurrent components of elbow dysplasia were identified. These findings suggest that UME may be more prevalent than previously recognized and is unlikely to represent a component of the elbow dysplasia complex, although further genetic and larger-scale studies are warranted.

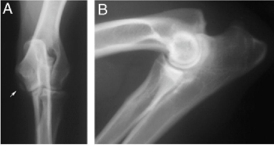
Craniocaudal (A) and extreme flexed mediolateral (B)radiographic projections of an elbow in a dog with un-unitedmedial epicondyle (UME) is shown. The UME fragment isseen on the craniocaudal, but not the flexed mediolateral pro-jection.171PASTER ET AL
How did we do? |
Disclaimer: The summary generated in this email was created by an AI large language model. Therefore errors may occur. Reading the article is the best way to understand the scholarly work. The figure presented here remains the property of the publisher or author and subject to the applicable copyright agreement. It is reproduced here as an educational work. If you have any questions or concerns about the work presented here, reply to this email.