- Veterinary View Box
- Posts
- Kidney Crisis? CEUS to the Rescue!
Kidney Crisis? CEUS to the Rescue!
Veterinary Record, 2025
Puccinelli, C., Del Signore, F., Gregori, F., Citi, S.
Background
Acute kidney injury (AKI) in dogs is a serious condition with variable outcomes. Early and accurate prognosis is essential for guiding treatment and owner expectations. This study evaluates the prognostic value of contrast-enhanced ultrasound (CEUS) in assessing renal perfusion and predicting outcomes in dogs with AKI.
Methods
The study utilized CEUS to measure renal perfusion parameters in dogs diagnosed with AKI. Imaging findings were correlated with clinical outcomes, including survival and renal function recovery. Data were compared to conventional prognostic markers to assess CEUS's predictive value.
Results
CEUS provided valuable prognostic insights, with specific perfusion patterns correlating to survival and renal recovery rates. Dogs with more homogeneous contrast uptake and prolonged perfusion times had better outcomes, while those with severely reduced perfusion showed poorer prognoses. CEUS outperformed some traditional biomarkers in predicting clinical trajectories.
Limitations
The study acknowledges variability in operator expertise and the influence of underlying diseases on CEUS readings. Additionally, sample size limitations may affect the generalizability of findings across broader canine populations.
Conclusions
CEUS is a promising, non-invasive tool for assessing renal perfusion and predicting outcomes in dogs with AKI. Its integration into clinical practice could enhance early prognostic assessments and treatment planning. Further studies are warranted to refine its clinical application.

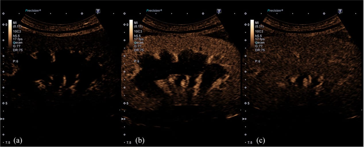
Contrast-enhanced ultrasonography images showing enhancement of the interlobar arteries (a), the renal cortex (b) and the renal medulla (c) of a dog with acute kidney injury
How did we do? |
Disclaimer: The summary generated in this email was created by an AI large language model. Therefore errors may occur. Reading the article is the best way to understand the scholarly work. The figure presented here remains the property of the publisher or author and subject to the applicable copyright agreement. It is reproduced here as an educational work. If you have any questions or concerns about the work presented here, reply to this email.