Mirko Mattolini, Simonetta Citi, Beatrice Gianni, Gregorio Carozzi, Elvanessa Caleri, Caterina Puccinelli, Federica Rossi
Background: An article from the journal Veterinary Radiology & Ultrasound, which describes the CT features of divisional bile ducts in healthy Labrador Retrievers. Divisional bile ducts are the hepatic ducts that drain the individual divisions of the liver. The article aims to provide a reference for the normal anatomy and size of these ducts in CT, which could be useful for diagnosing hepatobiliary diseases.
Study: The study is a retrospective, descriptive, anatomical study that included 40 Labrador Retrievers that underwent abdominal contrast-enhanced CT for various reasons. The dogs had normal blood tests and no evidence of hepatobiliary diseases. The authors evaluated the presence, number, length, and diameter of the visible divisional bile ducts, as well as the diameter of the common bile duct before and after the insertion of the divisional bile ducts. They also calculated the visceral fat area percentage (VFA%) and assessed its correlation with the biliary duct parameters.
Methods: The authors used a 16-slice CT unit and acquired images in helical scan mode, with contrast injection and a 30 s delay. They used an open-source DICOM viewer to analyze the images and measure the biliary ducts. They classified the divisional bile ducts based on their location, origin, and extension according to a previously reported classification. They used descriptive statistics and various tests to compare and correlate the biliary duct parameters and the VFA%.
Results: The authors found that the right lateral divisional duct (RLD) and the left lateral divisional duct (LLD) were the most frequently visualized ducts, either alone or simultaneously, in 75% of the dogs. The two central divisional ducts (RCD and LCD) and the central division network (CD) were not identified in any dog. The median length and diameter of the RLD and LLD were reported, as well as the median diameter of the common bile duct before and after the junction of the divisional bile ducts. The mean percentage increase in the common bile duct diameter was 15%. The median VFA% was 7.73%. No significant difference or correlation was found between the VFA% and the biliary duct parameters.
Limitations: The main limitation of the study is that the CT findings were not confirmed by a gold-standard imaging technique or by dissection of canine specimens. Another limitation is that only one canine breed was included, which may not reflect the variability of other breeds and sizes. A final limitation is that the inter- and intraobserver agreement was not evaluated.
Conclusions: The study provides the first description of the normal CT anatomy of the visible canine divisional bile ducts, which could be useful for further studies in patients with hepatobiliary diseases. The authors suggest that the extrahepatic portion of the lateral divisional bile ducts surrounded by visceral fat can be visualized in a high percentage of dogs, while the central divisional ducts and network are not visible. They also suggest that the total intra-abdominal adipose tissue does not affect the visualization of these ducts.

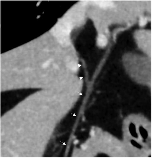
Multiplanar reconstruction of a dog where only the right lateral divisional bile duct (RLD—arrowheads) is visible that inserts into the common bile duct (CBD –slim arrows). CT image was reconstructed with a soft tissue algorithm, matrix 512 × 512, slide thickness 1.25 mm, 120 kV, 220 mA, pitch 0.562
How did we do?
Disclaimer: The summary generated in this email was created by an AI large language model. Therefore errors may occur. Reading the article is the best way to understand the scholarly work. The figure presented here remains the property of the publisher or author and subject to the applicable copyright agreement. It is reproduced here as an educational work. If you have any questions or concerns about the work presented here, reply to this email.
