- Veterinary View Box
- Posts
- Maybe you should do a 10 minutes delayed CT if you suspect PLE
Maybe you should do a 10 minutes delayed CT if you suspect PLE
Vet Radiol Ultrasound. 2025
Yujin Lee 1, Hojung Choi 2, Young-Won Lee 2, Kija Lee 3, Sooyoung Choi 1
Background
Protein-losing enteropathy (PLE) in dogs is a syndrome involving abnormal loss of serum proteins into the gastrointestinal tract, commonly due to inflammatory bowel disease, lymphangiectasia, or lymphangitis. Diagnostic imaging plays a supporting role, but definitive diagnosis often relies on histopathology. Vicarious contrast medium excretion (VCME)—the alternative excretion of contrast agents through non-renal pathways—has been observed in humans, particularly in renal dysfunction, but its significance in veterinary PLE diagnosis is underexplored. This study aimed to assess the presence of intestinal VCME in delayed-phase CT in dogs with and without PLE, hypothesizing it could serve as noninvasive supportive evidence for PLE.
Methods
This retrospective case-control study reviewed abdominal delayed-phase CT scans in 30 client-owned dogs from two veterinary hospitals. Six dogs were identified with enteropathy and concurrent hypoalbuminemia and were classified as presumptive PLE cases. CT imaging, along with clinical, biochemical, and histological or cytological data, was used to characterize and compare findings. Delayed CT was conducted approximately 10 minutes after intravenous administration of iodinated contrast. The primary outcome was the detection of intestinal VCME, assessed by a veterinary radiologist.
Results
Intestinal VCME was observed in 5 of 6 dogs diagnosed with PLE, but not in the 24 control dogs without enteropathy. One control dog showed VCME into the cisterna chyli. The association between PLE and intestinal VCME was statistically significant (p < .001). Imaging findings among PLE dogs included intestinal wall thickening, lymphadenopathy, ascites, and pleural effusion. Histological diagnoses in four dogs included lymphoplasmacytic enteritis with lymphangiectasia. No dogs with azotemia or urinary obstruction exhibited intestinal VCME, indicating that the phenomenon was not associated with renal impairment in this cohort.
Limitations
The study's small sample size and retrospective nature limit generalizability. Not all dogs underwent confirmatory histopathology. VCME specificity and sensitivity for PLE diagnosis remain undetermined. Delayed CT scans were limited to 10 minutes post-contrast, and variability in imaging protocols and anesthesia usage may have introduced bias.
Conclusions
Intestinal VCME on delayed CT is associated with canine PLE and may serve as a noninvasive supportive marker prior to histopathologic confirmation. While not definitive, its presence should prompt further diagnostic evaluation for PLE. The study encourages the inclusion of delayed-phase imaging in multiphase CT protocols for dogs with suspected intestinal disease.

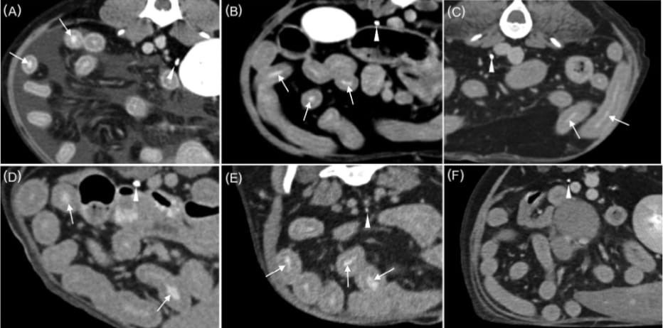
Transverse plane CT images on delay-phase following administration of contrast medium in six dogs suspected or confirmed PLE. Dog1 (A), dog 2 (B), dog 3 (C), dog 4 (D), dog 5 (E), and dog 6 (F). Ureteral contrast enhancement of the excretory phase can be observed (arrowheads). Notethe intraluminal opacification of multiple segments of the small intestine in five dogs (A–E) (arrows) compared to that in dog 6.4 of 7 Veterinary Radiology & Ultrasound, 2025
How did we do? |
Disclaimer: The summary generated in this email was created by an AI large language model. Therefore errors may occur. Reading the article is the best way to understand the scholarly work. The figure presented here remains the property of the publisher or author and subject to the applicable copyright agreement. It is reproduced here as an educational work. If you have any questions or concerns about the work presented here, reply to this email.