- Veterinary View Box
- Posts
- Normal cervical meningeal enhancement on MRI in healthy dogs: what radiologists should recognize
Normal cervical meningeal enhancement on MRI in healthy dogs: what radiologists should recognize
VRU 2026
Minhee Lee, Wooseok Jin, Sang-Kwon Lee, Hojung Choi, Youngwon Lee, Miori Kishimoto, Kija Lee
Background
Meningeal contrast enhancement on magnetic resonance imaging (MRI) is commonly interpreted as a sign of pathological conditions such as inflammation, neoplasia, or ischemia. However, mild meningeal enhancement can occur physiologically in the brain of healthy dogs, typically appearing as short, thin segments. Normal variation in spinal meningeal enhancement has not been well characterized in dogs. This study aimed to determine whether cervical spinal meningeal enhancement occurs in healthy dogs, to describe its imaging characteristics, and to evaluate whether the timing of post-contrast image acquisition influences the degree or appearance of enhancement.
Methods
This prospective exploratory study included 12 clinically healthy beagles with no neurological abnormalities. Cervical spine MRI was performed from the dens of C2 to the C4–5 intervertebral disc using a 1.5-T scanner under general anesthesia. Imaging sequences included T2-weighted, T1-weighted, contrast-enhanced T1-weighted (T1CE), and fat-saturated contrast-enhanced T1-weighted (T1CEFS) images obtained immediately after gadolinium administration and again 15 minutes later. Enhancement patterns were categorized by distribution (vertebral level), location within the meninges (dorsal, lateral, or ventral), and shape (long segments, short segments, or spots). Quantitative enhancement was assessed using an enhancement percentage (E%) calculated from signal intensity changes between pre- and post-contrast images.
Results
All 12 dogs demonstrated cervical spinal meningeal enhancement. Enhancement was most commonly observed at the C2–3 intervertebral disc level (100% of dogs), followed by C3–4 (41.7%) and C4–5 (16.7%). The enhancement predominantly occurred in the dorsal meninges and most frequently appeared as short segments. No enhancement was observed at vertebral body levels; instead, all enhancement occurred adjacent to intervertebral discs. Quantitatively, the mean enhancement percentage was highest at C2–3 (0.25), followed by C3–4 (0.21) and C4–5 (0.14). Immediate post-contrast imaging showed higher enhancement compared with delayed imaging, with significant decreases at the C2–3 and C3–4 levels after 15 minutes. Despite this reduction in intensity, the distribution, location, and shape of enhancement patterns did not significantly differ between immediate and delayed acquisitions.
Limitations
The study had several limitations. The sample size was small and consisted only of healthy beagles, which may limit generalizability to other breeds or clinical populations. Neurological examination and cerebrospinal fluid analysis were not performed, leaving the possibility of undetected subclinical disease. Additionally, imaging coverage was limited to the C2–C4/5 region, and the imaging protocol did not include pre-contrast fat-saturated T1 sequences, making differentiation between meninges and epidural fat more challenging.
Conclusions
Short-segment cervical spinal meningeal enhancement on MRI can occur as a normal finding in healthy dogs, most commonly appearing in the dorsal meninges at the C2–3 intervertebral disc level. These enhancements are typically thin, short segments and likely represent intravascular enhancement of normal meningeal vessels rather than pathology. Delayed post-contrast imaging does not provide additional diagnostic benefit compared with immediate acquisition. Recognition of these normal enhancement patterns may help clinicians differentiate physiological findings from pathological meningeal disease in canine spinal MRI.Disclaimer: The summary generated in this email was created by an AI large language model. Therefore errors may occur. Reading the article is the best way to understand the scholarly work. The figure presented here remains the property of the publisher or author and subject to the applicable copyright agreement. It is reproduced here as an educational work. If you have any questions or concerns about the work presented here, reply to this email.

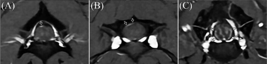
Categorization of the location and the shape of cervical spinal meningeal enhancement on fat-saturated images. The location of meningeal enhancement was classified as dorsal, lateral, or ventral of the meninges. The shape was categorized as long segments, short segments, or spots by comparing the length of the enhanced area to the maximal spinal cord diameter. An enhanced region was defined as a long segment if its length exceeded 50% of the maximal spinal cord diameter, as a short segment if its length ranged between 25% and 50% of the maximal spinal cord diameter, and as a spot if it was shorter than 25% of the maximal spinal cord diameter. For example, according to these criteria, the images were classified as spot enhancement of the dorsal meninges (A, open arrow), short segment enhancement of the dorsal meninges (B, open arrows), and long segment enhancement of the lateral and ventral meninges (C, closed arrows). Slice thickness = 2 mm, spacing = 0.2 mm, FOV = 140 × 140 mm; T1CEFS imaging parameters: TR = 481 ms, TE = 10 ms, NEX = 2, flip angle = 111°.