- Veterinary View Box
- Posts
- Rads, CT and Histo! Documentation of a severe CPE case.
Rads, CT and Histo! Documentation of a severe CPE case.
Vet Rec Case Rep 2020
Sarah Bouyssou, Inigo Sanz, Francesco Marchesi, Caroline Eivers
Background:
Congenital lobar emphysema (CLE) is a rare developmental lung condition characterized by overinflation of one or more lung lobes, typically due to bronchial cartilage abnormalities. It is most often reported in young animals and typically involves a single lobe, particularly the right middle or left cranial lung lobe. This report presents an atypical case involving multilobar CLE in a Labrador Retriever puppy, emphasizing the combined radiographic, CT, and histopathological findings.
Methods:
A 10-week-old male Labrador Retriever presented with acute-onset coughing and dyspnea. Thoracic radiographs and computed tomography (CT) were performed under general anesthesia. Gross pathology and histopathology were obtained postmortem. Imaging assessed for the presence and extent of pulmonary cystic lesions, while histology confirmed structural changes in the airways and parenchyma.
Results:
Radiographs and CT revealed multifocal, thin-walled, gas-filled cystic lesions throughout all lung lobes, suggestive of pulmonary bullae or cystic bronchiectasis. Signs of pulmonary hyperinflation included a barrel-shaped chest, flattened diaphragm, and horizontal rib orientation. CT confirmed extensive bilateral lesions, ground-glass opacities, and mild pneumothorax. Gross pathology demonstrated subpleural and intraparenchymal bullae. Histologically, dilated bronchi with hypoplastic or absent cartilage, type I and II pneumocytes lining cystic lesions, and variable inflammation were observed. No normal lung parenchyma was preserved.
Limitations:
CT evaluation of subsegmental bronchi was limited due to motion artifacts and the extent of the cystic lesions, preventing clear distinction between bullae and bronchiectasis. The cervical trachea could not be adequately assessed due to the presence of an endotracheal tube.
Conclusions:
This case illustrates a rare presentation of multilobar CLE involving all lung lobes, confirmed by imaging and histopathology. CT was instrumental in delineating the extent of lesions and identifying a pneumothorax not visible on radiographs. As surgical treatment is not viable in diffuse cases, euthanasia was elected. This is the first report to combine detailed radiographic, CT, and histological findings of such an extensive presentation in a puppy, highlighting CT's diagnostic value in complex pulmonary anomalies.

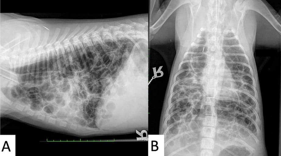
Figure 1 Right lateral (A) and dorsoventral (B) radiographs of the thorax. There are multifocal thin- walled and gas- illed rounded cystic lesions
throughout the lung ield, measuring up to 30 mm in diameter. There is no normal lung pattern identiied. Note the barrel chest, lattening of the
diaphragmatic contours and horizontalisation of the ribs, indicating hyperinlation
How did we do? |
Disclaimer: The summary generated in this email was created by an AI large language model. Therefore errors may occur. Reading the article is the best way to understand the scholarly work. The figure presented here remains the property of the publisher or author and subject to the applicable copyright agreement. It is reproduced here as an educational work. If you have any questions or concerns about the work presented here, reply to this email.