Nadine Fiani, BVSc; Boaz Arzi, DVM; Eric G. Johnson, DVM, DACVR; Brian Murphy, DVM, PhD, DACVP; Frank J. M. Verstraete, DrMedVet, MMedVet, DAVDC
Background
Osteoma is a benign, slow-growing bone tumor composed of mature compact or cancellous bone. While reported in multiple domestic species, osteomas of the oral and maxillofacial regions are uncommon in cats, with limited published data regarding their clinical presentation, treatment, and outcome. The authors aimed to characterize the clinical features, diagnostic findings, management, and outcomes of cats diagnosed with oral or maxillofacial osteoma.
Methods
This study was a retrospective case series of cats examined at a single veterinary teaching hospital between 1999 and 2009. Inclusion required histologic confirmation of osteoma and complete medical records. Data collected included signalment, clinical signs, clinicopathologic findings, diagnostic imaging (radiography and computed tomography), histopathology, treatment, and long-term outcome, with follow-up obtained from records and owner interviews.
Results
Seven cats met inclusion criteria, ranging from 1 to 23 years of age. Clinical signs attributable to the mass were present in five cats. The mandible was the most commonly affected site (5/7 cats), followed by the nasal cavity and maxilla. Computed tomography identified two imaging patterns consistent with compact (cortical) and cancellous (central) osteomas. Three cats were euthanatized due to disease extent or concurrent conditions. Four cats underwent surgical management (mandibulectomy, maxillectomy, debulking, or excisional biopsy). At follow-up of at least one year, all surgically treated cats were alive with owner-reported acceptable quality of life and no gross evidence of recurrence.
Limitations
Limitations included the retrospective design, small sample size, and single-institution case selection, which precluded statistical analysis and limited conclusions regarding prevalence, risk factors, and optimal treatment strategies. Some cats were examined at advanced stages of disease, restricting therapeutic options.
Conclusions
Oral and maxillofacial osteomas are rare in cats and are often diagnosed at an advanced stage. Despite their benign nature, these tumors can cause significant clinical disease due to their location. Early clinical evaluation, advanced imaging, and biopsy are recommended to facilitate less invasive surgical management and improve outcomes. Surgical treatment, when feasible, was associated with long-term survival and good quality of life.

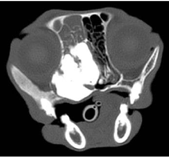
Computed tomographic image of the head of a 23-year-old domestic medium-hair cat examined because of a maxillofacial osteoma. The image was obtained prior to biopsy collection. The tumor was extensive and involved multiple bones of the nasal cavity. It occluded the nasopharynx, nasofrontal communication, and left nares.
How did we do?
Disclaimer: The summary generated in this email was created by an AI large language model. Therefore errors may occur. Reading the article is the best way to understand the scholarly work. The figure presented here remains the property of the publisher or author and subject to the applicable copyright agreement. It is reproduced here as an educational work. If you have any questions or concerns about the work presented here, reply to this email.

