- Veterinary View Box
- Posts
- 🐾 Rare Canine Skull Tumor Shows Atypical CT Pattern – First Report of Poorly Mineralized Multilobular Osteochondrosarcoma
🐾 Rare Canine Skull Tumor Shows Atypical CT Pattern – First Report of Poorly Mineralized Multilobular Osteochondrosarcoma
VRU 2025
Kalie Fikse, Katherine Bauer, Maggie Richards, Kristen Hill-Thimmesch, Maria C. Jugan, Clay Hallman
Background
Multilobular osteochondrosarcoma (MLO) is a rare bone tumor primarily affecting canine skull bones. It is generally slow-growing and mineralized, presenting with a distinctive “popcorn-like” radiographic appearance. However, this case report describes an atypical MLO presentation in a 9-year-old female boxer, characterized by rapid growth and minimal mineralization. The study aims to document this unusual imaging pattern and explore its possible periosteal origin.
Methods
A 9-year-old spayed female boxer with a rapidly enlarging dorsal cranial mass underwent diagnostic imaging at Kansas State University. Diagnostic procedures included skull radiography, contrast-enhanced computed tomography (CT), thoracic radiographs, ultrasonography, and biopsy. Postmortem necropsy and histopathologic analyses were performed following euthanasia due to neurological deterioration.
Results
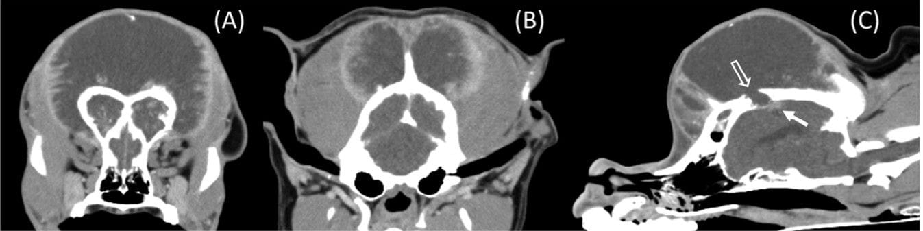
CT imaging revealed a large, symmetrical, hypoattenuating cranial mass with a strong contrast-enhancing capsule but minimal mineralization. Adjacent bone lysis and a small enhancing intracranial lesion were observed, suggesting aggressive behavior. Histopathology confirmed a Grade III MLO composed of pleomorphic mesenchymal cells surrounding cartilage and bone lobules, with extensive necrosis and local invasion into adjacent tissues. Postmortem examination also identified a pulmonary tumor embolus. The tumor was encapsulated and likely arose from the periosteum.
Limitations
As a single case report, generalization is limited. Histopathology could not definitively distinguish between periosteal and subcutaneous collagen origin, and no advanced molecular analyses were performed to confirm tumor lineage. Additionally, short clinical follow-up precluded assessment of disease progression or treatment response.
Conclusions
This is the first reported canine case of a poorly mineralized, encapsulated MLO with strong peripheral contrast enhancement on CT, supporting a periosteal origin. The findings emphasize that MLO should be considered a differential diagnosis for cranial masses even when typical mineralization patterns are absent. This case expands the known imaging spectrum of MLO and reinforces its potential periosteal derivation.

(A–C) Transverse postcontrast CT images in a soft tissue window at the level of the frontal sinuses (A) and more caudally, at the levelof the tympanic bullae (B) as well as a sagittal image just right of midline (C). Caudally, the mass has a more bilobed appearance, with the enhancingrim extending from the abaxial dorsal calvarium in addition to the external occipital crest. In image (C), just caudal to the region of lysis of the dorsalcalvarium (open arrow) is an ovoid region of contrast-enhancement within the underlying brain parenchyma (white arrow)
How did we do? |
Disclaimer: The summary generated in this email was created by an AI large language model. Therefore errors may occur. Reading the article is the best way to understand the scholarly work. The figure presented here remains the property of the publisher or author and subject to the applicable copyright agreement. It is reproduced here as an educational work. If you have any questions or concerns about the work presented here, reply to this email.