- Veterinary View Box
- Posts
- Rare Salivary Choristoma Diagnosed and Removed in Dog Using CT-Guided Surgery
Rare Salivary Choristoma Diagnosed and Removed in Dog Using CT-Guided Surgery
Frontiers in Veterinary Science 2025
Catharine Morgan, Janny V. Evenhuis, Sarah Zurbuchen, Natalia Vapniarsky, Kelsey Brust
Background
Salivary choristomas, also known as heterotopic or ectopic salivary gland tissue, are a rare finding in veterinary medicine and refer to histologically normal salivary tissue located outside typical anatomical sites. Although recognized in human literature, they are poorly documented in animals. This case report describes the first known computed tomography (CT)-guided diagnosis and surgical excision of an intraorbital salivary choristoma in a canine patient, emphasizing the importance of multimodal diagnostics.
Methods
A 10-year-old castrated male Golden Retriever presented with a 2-year history of a gradually enlarging intraorbital mass. CT imaging with contrast, including dacryocystography and direct lesion injection, was performed to evaluate the lesion’s structure and relationships. Cytology was performed following aspiration, and histopathology was conducted on tissue samples post-surgical excision via an intraoral approach. Follow-up CT imaging was performed four months post-operatively.
Results
CT revealed a large, fluid-filled, non-communicating lesion displacing the left globe and causing remodeling of the zygomatic arch. Cytology suggested saliva with mild inflammation. Surgical removal yielded cystic tissue confirmed on histopathology to be salivary gland tissue with ductal structures, consistent with a diagnosis of salivary choristoma. A four-month postoperative CT showed a small remnant of the lesion, significantly reduced in volume (3.8% of original size), with no clinical signs warranting further surgery.
Limitations
As a single case report, generalizability is limited. The precise embryological mechanism underlying choristoma formation was not elucidated. Additionally, some heterotopic tissue remained post-surgery, and longer-term follow-up would be required to assess recurrence or complications such as neoplastic transformation.
Conclusions
This case highlights the value of combining advanced imaging, cytology, and histopathology for diagnosing rare intraorbital lesions. Salivary choristomas, though rare, should be considered in differential diagnoses for orbital masses in dogs. Surgical excision via a minimally invasive intraoral approach proved effective, and follow-up imaging confirmed significant lesion resolution. Further research is needed to understand the prevalence and developmental origins of such anomalies in veterinary species.

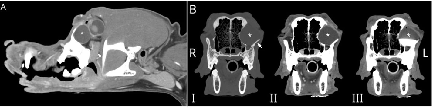
(A) Parasagittal reconstruction of the skull of a 10-year-old male castrated Golden Retriever post-IV contrast with a large, ovoid, fluid-filled structure (*) caudally displacing the globe. The zygomatic salivary gland (arrow) is ventral to the fluid-filled structure. (B) Multiphase transverse CT images show that this large, ovoid, fluid-filled structure (*) causes architectural changes to the left zygomatic arch (arrow). Dacrorhinocytography did not document contrast drainage into the intraorbital structure and did not drain into the adjacent canal (not shown) when contrast was directly injected into the structure in C. I- precontrast, II- post IV contrast, and III- post dacrorhinocytogram and direct injection into an ovoid fluid-filled structure.
How did we do? |
Disclaimer: The summary generated in this email was created by an AI large language model. Therefore errors may occur. Reading the article is the best way to understand the scholarly work. The figure presented here remains the property of the publisher or author and subject to the applicable copyright agreement. It is reproduced here as an educational work. If you have any questions or concerns about the work presented here, reply to this email.