- Veterinary View Box
- Posts
- The full scoop on lung fibrosis in WHWT
The full scoop on lung fibrosis in WHWT
Vet Clin North Am Small Anim Pract. 2020
Henna P Laurila 1, Minna M Rajamäki 2
Background
Canine idiopathic pulmonary fibrosis (CIPF) is a chronic, progressive interstitial lung disease of unknown etiology, predominantly affecting older West Highland White Terriers (WHWTs). It shares clinical and pathological features with human idiopathic pulmonary fibrosis (IPF), including respiratory decline, hypoxemia, and interstitial fibrosis. The disease is of increasing interest due to its potential as a spontaneous model for human IPF.
Methods
This article is a comprehensive review of existing literature and studies on CIPF, summarizing clinical features, diagnostic approaches, pathogenesis, histopathology, potential biomarkers, treatment strategies, and prognosis. It incorporates findings from imaging (HRCT), arterial blood gas analysis, histology, bronchoalveolar lavage fluid analysis, and genetic and environmental research to contextualize CIPF within broader interstitial lung diseases.
Results
CIPF is characterized by mature diffuse interstitial fibrosis with occasional foci of cellular, immature fibrosis resembling both nonspecific interstitial pneumonia (NSIP) and usual interstitial pneumonia (UIP) in humans. Dogs typically present with exercise intolerance, cough, and Velcro crackles, though clinical signs are variable. High-resolution computed tomography reveals ground-glass opacities and mosaic attenuation, among other patterns. Biomarkers such as endothelin-1, PIIINP, and matrix metalloproteinases in serum and BALF show promise for diagnosis and monitoring. Pulmonary hypertension is a common complication. Despite symptomatic treatments, including corticosteroids, theophylline, and sildenafil, no curative therapy exists. Median survival after diagnosis is approximately 11 months.
Limitations
No prospective clinical trials exist for CIPF treatment, and many studies are based on small, single-breed populations. Lung biopsies are seldom performed, limiting definitive diagnosis during life. Further, many diagnostic findings are nonspecific, making differentiation from other chronic respiratory diseases challenging. Genetic and environmental contributions to disease development remain poorly defined.
Conclusions
CIPF in WHWTs represents a naturally occurring model of progressive fibrotic lung disease with parallels to human IPF and NSIP. Improved diagnostic biomarkers, understanding of etiology, and breed-specific risk factors are needed. The development of targeted therapies remains a priority, as current treatment focuses on palliative care and management of complications.

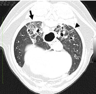
A transverse HRCT image at the level of caudal lung lobes in an 11-year-old WHWT with CIPF and a PaO2 of 57 mm Hg. Areas of GGO (arrow) and traction bronchiectasis (arrowhead) are seen dorsally. The images were obtained under general anesthesia. (Courtesy of Anu K. Lappalainen, DVM, PhD, University of Helsinki, Finland.)
How did we do? |
Disclaimer: The summary generated in this email was created by an AI large language model. Therefore errors may occur. Reading the article is the best way to understand the scholarly work. The figure presented here remains the property of the publisher or author and subject to the applicable copyright agreement. It is reproduced here as an educational work. If you have any questions or concerns about the work presented here, reply to this email.