- Veterinary View Box
- Posts
- There is now a cat PDA occluder....
There is now a cat PDA occluder....
Journal of Veterinary Cardiology 2025
L. García-Guasch, A.M. Bello, A. García-Urdiales, D. Massegur-Yeste, C. Olmedo-Bosch
Background
Patent ductus arteriosus (PDA) is a congenital cardiac defect that can lead to volume overload of the left atrium and ventricle, eventually causing congestive heart failure. While PDA closure is commonly performed via thoracotomy in cats, minimally invasive transcatheter approaches are gaining interest. This report describes the use of the Vet-PDA Occluder™, a novel conic-shaped nitinol spiral device, to achieve PDA occlusion in a feline patient.
Methods
A five-month-old female domestic short-haired cat, weighing 2.22 kg, was referred for evaluation of a continuous heart murmur. Transthoracic echocardiography confirmed a left-to-right shunting PDA. The procedure involved a transjugular approach using fluoroscopic guidance. A 6×5-mm Vet-PDA Occluder™ was deployed via a 4-Fr catheter into the descending aorta, with subsequent repositioning into the pulmonary ostium. The procedure was monitored using angiography and Doppler echocardiography.
Results
The device was successfully deployed, leading to the immediate resolution of the heart murmur. Postoperative echocardiography revealed mild residual blood flow through the center of the device. Follow-up at three months showed a reduction in left atrial and ventricular dimensions, indicating decreased cardiac volume overload. No significant complications were reported.
Limitations
This is a single-case report, and further studies are needed to assess the long-term efficacy and safety of the Vet-PDA Occluder™ in feline patients. Additionally, mild residual blood flow was noted post-procedure, though this is commonly observed in early PDA occlusion.
Conclusions
The Vet-PDA Occluder™ was successfully used for PDA closure in a cat via a transjugular approach, offering a viable alternative to traditional surgical ligation. This minimally invasive technique could be beneficial for small patients where femoral artery access is challenging. Further research is needed to validate its widespread clinical use in feline cardiology.

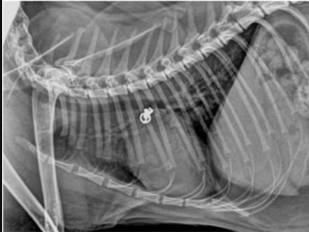
Lateral thoracic radiograph following the procedure and confirming adequate placement and location of the Vet-PDA Occluder™ device.
How did we do? |
Disclaimer: The summary generated in this email was created by an AI large language model. Therefore errors may occur. Reading the article is the best way to understand the scholarly work. The figure presented here remains the property of the publisher or author and subject to the applicable copyright agreement. It is reproduced here as an educational work. If you have any questions or concerns about the work presented here, reply to this email.