CT measurement of prostate volume using OsiriX® viewer is reliable, repeatable, and not dependent on observer, CT protocol, or contrast enhancement in dogs
Study: The study is a two-part, observer agreement, methods comparison study that aimed to assess observer agreement and the effects of varying CT technical parameters for volume measurements of canine prostate glands on CT images using OsiriX® DICOM viewer software.
Methods: In the first retrospective study, two observers measured prostate volumes of 13 client-owned dogs thrice on noncontrast and contrast CT images. In the second prospective study, two observers measured the prostate volume of 10 cadavers using five different CT protocols and eight cadavers using three slice thicknesses. Observer agreement analyses were performed, and prostatic CT volume measurements were compared with water displacement volume measurements.
Results: Intra- and interobserver variability and the effect of contrast enhancement were found to be minimal when a one-way analysis of variance model and intraclass correlation coefficients were used. No significant differences emerged between different protocols and slice thicknesses using a linear mixed effects model. When the prostate CT volume was compared using a Bland–Altman plot with the reference volume acquired by the water displacement method, agreement without consistent bias between the methods was shown, and over 90% of measurements were located within the 95% limits of agreement.
Conclusion: The findings supported using OsiriX® software for CT prostatic volume measurements in dogs.

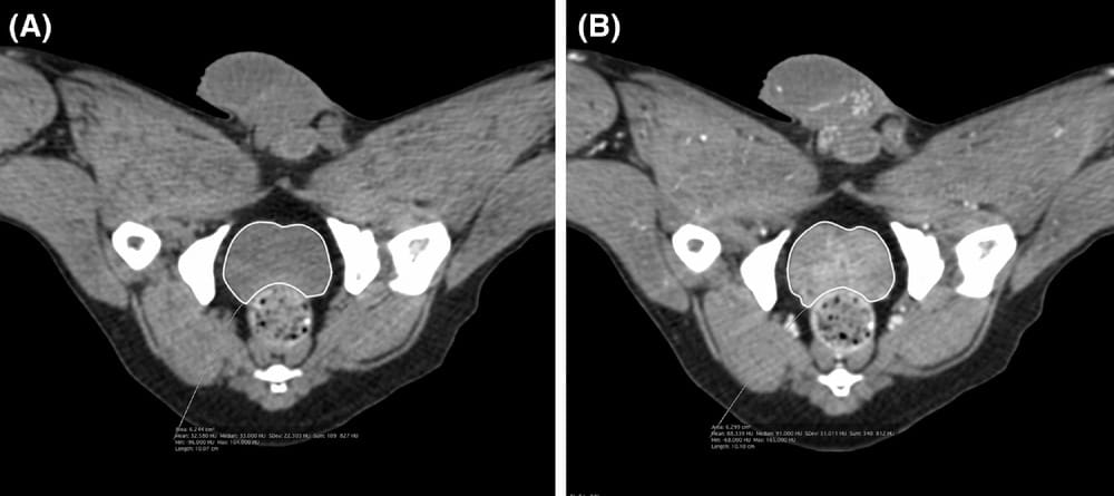
Transverse noncontrast (A) and contrast (B) computed tomography images of the pelvic area of the same dog in dorsal recumbency demonstrating prostate margins traced on images with a freehand image tracing software tool. Computed tomographic images were reconstructed with a soft tissue algorithm. A slice thickness of 0.625 mm, window level of 40 HU, and window width of 400 HU were used
How did we do?
Disclaimer: The summary generated in this email was created by an AI large language model. Therefore errors may occur. Reading the article is the best way to understand the scholarly work. The figure presented here remains the property of the publisher or author and subject to the applicable copyright agreement. It is reproduced here as an educational work. If you have any questions or concerns about the work presented here, reply to this email.
