K.E. Murphy, L.E. Markovic, D.B. Adin, K.E. Moy-Trigilio, A.E. Coleman.
Background
Pulmonary valve stenosis (PS) is a common congenital heart disease in dogs, and severity is often assessed using the transpulmonary pressure gradient (PG). Doppler echocardiography is widely used to estimate PG noninvasively, while catheterization provides direct PG measurements. However, discrepancies between these methods have been observed. This study aimed to evaluate the agreement between Doppler-derived PG estimates and catheterization-based PG measurements in dogs with PS, hypothesizing that mean Doppler PG (PGecho-mean) would be less biased than peak Doppler PG (PGecho-peak) when compared to catheterization-derived PG (PGcath).
Methods
This retrospective study analyzed data from 209 dogs (215 instances) with congenital PS that underwent echocardiography and subsequent balloon pulmonary valvuloplasty (BPV) within 30 days at two veterinary hospitals. Echocardiographic PG values (PGecho-mean and PGecho-peak) were retrospectively measured from spectral Doppler recordings, while PGcath was extracted from catheterization reports. Bland-Altman analysis was used to assess bias and agreement between the methods.
Results
PGecho-mean tended to underestimate PGcath, while PGecho-peak overestimated it. Proportional bias was observed for PGecho-mean, with greater underestimation at higher PG values (P < 0.001). PGecho-peak showed a constant overestimation bias of -38.12 mmHg but with wide limits of agreement (P = 0.62). Both echocardiographic methods demonstrated variability, limiting their direct interchangeability with PGcath.
Limitations
This retrospective study included only dogs that underwent BPV, potentially skewing results toward more severe PS cases. The effects of anesthesia on PGcath measurements may have influenced comparisons. Additionally, variability in echocardiographic image acquisition and measurement techniques may have contributed to discrepancies.
Conclusions
Doppler echocardiographic estimates of PG do not reliably predict catheterization-based PG in dogs with PS. PGecho-mean tends to underestimate, while PGecho-peak overestimates PGcath, particularly at higher values. These findings highlight the need for clinicians to consider additional hemodynamic and morphological factors when determining PS severity and treatment decisions.

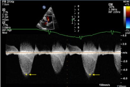
Representative spectral Doppler echocardiographic image taken from a dog with pulmonary valve stenosis, illustrating the modal (‘chin’) velocity method used to identify peak instantaneous transpulmonary velocity in the present study. The yellow ‘+’ and arrow denote modal velocity.
How did we do?
Disclaimer: The summary generated in this email was created by an AI large language model. Therefore errors may occur. Reading the article is the best way to understand the scholarly work. The figure presented here remains the property of the publisher or author and subject to the applicable copyright agreement. It is reproduced here as an educational work. If you have any questions or concerns about the work presented here, reply to this email.

