- Veterinary View Box
- Posts
- What do the bezoars look on CT?
What do the bezoars look on CT?
Animals (Basel). 2025
Jongwon Koo 1, Kidong Eom 1, Jaehwan Kim 1, Jeongyun Jeong 1 2, Hongji Yoon 1 3, Minsu Lee 3, Jinsoo Park 4, Jongmun Cho 4
Background
Gastrointestinal foreign bodies are common emergencies in small animal veterinary medicine. While computed tomography (CT) offers advantages over radiography and ultrasonography (US) in diagnosing intestinal obstructions, CT interpretation can be challenging, especially for bezoars. Bezoars, masses of indigestible material, often resemble normal intestinal content on imaging. This study aimed to compare CT features of bezoars and distinct foreign bodies in dogs and cats, and to examine their associated complications and clinical outcomes.
Methods
This retrospective multicenter study reviewed medical records from four veterinary hospitals (2016–2024), including 33 animals (26 dogs, 7 cats) with endoscopically or surgically confirmed gastrointestinal foreign bodies. CT findings were compared between bezoars (n = 15) and distinct foreign bodies (n = 18) using qualitative and quantitative criteria. Radiographs and US were analyzed when available. Measurements included attenuation values, transition zone presence, and proximal-to-distal small intestinal diameter ratios. Complications and outcomes were assessed using statistical tests (e.g., Fisher’s exact, Mann–Whitney U, Kruskal–Wallis).
Results
Bezoars were significantly harder to detect on CT than distinct foreign bodies due to their poorly defined boundaries (33.3% vs. 94.4%, p < 0.001). They were associated with longer symptom duration (median 14 vs. 5.5 days, p = 0.013), more frequent transition zones (92.3% vs. 41.7%, p = 0.011), and higher intestinal diameter ratios (2.9 vs. 1.25, p = 0.012). CT attenuation values were significantly lower for bezoars. Radiography detected bezoars in only one of six cases, while US identified acoustic shadowing in four cases. Duodenal foreign bodies had the highest complication rates (p = 0.015), and bowel wall rupture was significantly associated with adverse outcomes (p < 0.001). Overall, 6 of 33 animals (18%) experienced poor outcomes (death or reoperation).
Limitations
The study's limitations include its retrospective design, small sample size, exclusion of functional ileus cases, and limited radiographic and US data. Species-specific differences were not fully explored, and the study did not evaluate the long-term impact or severity of complications.
Conclusions
CT imaging is superior to radiography and US for detecting gastrointestinal foreign bodies, particularly bezoars, in dogs and cats. Transition zones and differences in intestinal diameters are key CT features for identifying bezoar-induced obstructions. Early CT evaluation is critical for detecting duodenal foreign bodies and preventing complications such as bowel wall rupture, thereby improving clinical outcomes in veterinary emergency settings.

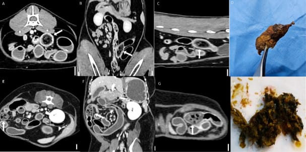
Representative CT images of bezoars (scale bar equals 1 cm). (A–C) Multiplanar CT images of a jejunal bezoar: (A) transverse, (B) dorsal, and (C) sagittal views. The bezoar (arrows) appears as an intraluminal mass with a mottled gas pattern. (D) The corresponding surgically removed bezoar was identified as a trichobezoar composed of hair. (E–G) Multiplanar CT images of another jejunal bezoar: (E) transverse, (F) dorsal, and (G) sagittal views. The bezoar (arrows) exhibits similar mottled gas appearance. (H) The corresponding foreign body was identified as a trichobezoar primarily composed of synthetic fibers, likely originating from toy fragments.
How did we do? |
Disclaimer: The summary generated in this email was created by an AI large language model. Therefore errors may occur. Reading the article is the best way to understand the scholarly work. The figure presented here remains the property of the publisher or author and subject to the applicable copyright agreement. It is reproduced here as an educational work. If you have any questions or concerns about the work presented here, reply to this email.