- Veterinary View Box
- Posts
- What Does a “Normal” Canine Brachial Plexus Look Like on CT? New Size & Interpretation Guidelines
What Does a “Normal” Canine Brachial Plexus Look Like on CT? New Size & Interpretation Guidelines
Veterinary Radiology & Ultrasound (2025)
Iris Hummel; Maartje Passon-Vastenburg; Erik den Hertog
Background
Computed tomography (CT) of the cervicothoracic region frequently includes the axillary area, where the caudal aspect of the canine brachial plexus may be visible. Despite increasing CT use, limited data exist describing the normal CT appearance, size, and attenuation characteristics of the canine brachial plexus. This lack of reference information complicates differentiation between normal variation and pathology. The study aimed to describe CT size measurements and morphological features of the presumptively normal brachial plexus in dogs and to evaluate associations with patient characteristics to support clinical interpretation.
Methods
A retrospective cross-sectional study evaluated 39 dogs (78 brachial plexuses) that underwent thoracic CT imaging at a single institution. Dogs were included if CT quality was adequate and no clinical or imaging evidence of brachial plexus pathology was present. Measurements were obtained at a standardized axillary location using anatomical landmarks. Recorded variables included cross-sectional area, height, width, sagittal diameter, attenuation values (pre- and postcontrast), subjective conspicuity, and amount of interlying fat. Dogs were stratified by weight, weight category, sex, age, laterality, and chondrodystrophic versus non-chondrodystrophic breed type. Inter- and intraobserver reliability for size measurements was assessed, and statistical analyses explored associations between CT findings and patient characteristics.
Results
All brachial plexus size measurements showed a strong positive correlation with body weight, indicating larger plexus dimensions in heavier dogs. Age showed a weak negative association with size, which was confounded by body weight. No significant effects of sex, laterality, or breed type were identified for size or attenuation characteristics. Postcontrast attenuation values differed significantly from precontrast values, though overall enhancement was limited. A greater amount of interlying fat was associated with lower minimum attenuation values and reduced conspicuity, resulting in a more blurred appearance of the plexus. Size measurements demonstrated good to excellent intra- and interobserver reliability, particularly for cross-sectional area, whereas subjective assessments of conspicuity and fat amount showed poor to fair interobserver agreement.
Limitations
The study was retrospective with a relatively small sample size and lacked histologic confirmation of normality. Subjective grading of conspicuity and interlying fat contributed to variability and limited repeatability. Differences in patient positioning, contrast administration, and measurement slice selection may have affected results. High standard errors of measurement limited the clinical applicability of absolute size values as definitive reference standards.
Conclusions
This study provides detailed descriptive CT characteristics of the presumptively normal canine brachial plexus at a standardized axillary location. Body weight is the primary determinant of brachial plexus size, while breed type does not significantly influence CT appearance. Interlying fat substantially affects conspicuity and attenuation measurements. Although size measurements are relatively reproducible, variability limits their immediate use as strict reference values. These findings offer practical guidelines to support CT interpretation of the canine brachial plexus and highlight areas for future prospective research.

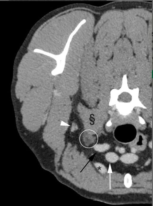
Postcontrast transverse CT image of the cervicothoracic region (level of C6) showing landmarks establishing anatomic location for evaluation. Ventral part of the scalenus muscle (§), axillary vein (black arrow) and artery (white arrow), first rib (*), and axillary lymph node (white arrowhead). The CT images were obtained with a slice thickness of 1 mm, 280 kVp, 200 mA, soft tissue algorithm, viewed with a window width of 400 and a window level of 40. Right is on the left side of the images.
How did we do? |
Disclaimer: The summary generated in this email was created by an AI large language model. Therefore errors may occur. Reading the article is the best way to understand the scholarly work. The figure presented here remains the property of the publisher or author and subject to the applicable copyright agreement. It is reproduced here as an educational work. If you have any questions or concerns about the work presented here, reply to this email.