- Veterinary View Box
- Topics
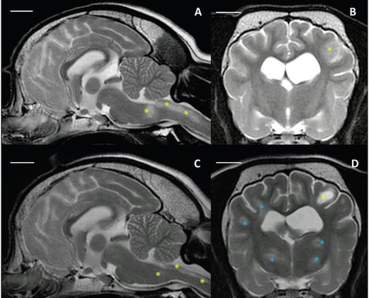
- MRI
MRI
OncologyCongenitalNeurologyGastrointestinalProcedureAnatomyDermatologyFarm AnimalHepatobiliaryArtificial IntelligenceGenitourinaryMusculoskeletalCanineThrowback ThursdayMust Know PaperCardiovascularAvian/ExoticsEquineUltrasoundNuclear MedicineFelineRadiographyDentistryInfectiousEndocrinologyMRICTVascularHematologyRespiratory












